La ruptura de la porció distal múscul bessó intern és també coneguda com la lesió de tennis leg . És freqüent que aquesta patologia estigui associada a la ruptura del m. soli o la del m. plantar prim, així com la trombosis venosa profunda. Presentem el cas dun jugador professional de basquet amb antecedents de tendinopatia aquil·lea i bursitis retro-calcània, que presenta un tennis-leg associat a una ruptura parcial del tendó dAquil·les.
A tear in the distal part of the internal calf muscle is also known as tennis leg. This injury is often associated with the rupture of the soleus muscle or the plantaris muscle, as well as deep vein thrombosis. We present the case of a professional basketball player with a history of Achilles tendonitis and retrocalcaneal bursitis, who had a tennis leg associated to a partial rupture of the Achilles tendon.
La ruptura de la porció distal del múscul bessó intern és també coneguda com la lesió de tennis leg1,2,3. Clínicament es caracteritza per un dolor sobtat i fort (signe de la pedrada) a nivell mig i medial de la cama, que ràpidament provoca una impotència funcional podent arribar a ser molt invalidant. El mecanisme lesional és degut a una contracció sobtada del m. bessó intern quan la cama pasa destar totalment estirada i el turmell en flexió dorsal, a una flexió del genoll i una flexió plantar del peu, típic gest del tenista quan fa un servei o bé quan els jugadors desports dequip fan una frenada del cos cap enrere i volen impulsar-se ràpidament cap endavant. El diagnòstic es realitza per la clínica i normalment amb el suport de lecografia músculo-esquelètica. El tractament es basa en el protocol estandar de les lesions musculars, fent especial atenció a la compressió, la primera setmana. El temps de recupaeració és llarg, entre 6 setmanes fins diversos mesos2.
Amb aquest nom de tennis leg es diagnostiquen clínicament altres tipus de patologies, associades o no, com són la lesió muscular del m. soli o la del m. plantar prim, la formació dun hematoma miofascial intern muscular sense evidència de lesió muscular, i la trombosi venosa profunda4. Per això moltes vegades caldrà un estudi ecogràfic amb doppler i una ressonància magnètica per confirmar el diagnòstic i determinar totes les lesions associades5,6,7.
El que no esta descrit, com a mínim no sha trobat referenciat, es lassociació del tennis leg amb la ruptura del tendó dAquil·les. La ruptura parcial de tendó dAquil·les és una patologia pròpia desportistes veterans. El tendó dAquil·les és un dels tendons mes forts del cos humà, a la vegada que és un dels que té més risc de trencar-se i pot fer-ho sense simptomatologia prèvia i per motius que encara són poc coneguts.
En aquest article presentem un cas dun jugador de bàsquet professional on trobem aquesta associació. Inicialment es va fer un diagnòstic de tennis leg i després de quatre dies es va fer un diagnòstic també de ruptura parcial del tendó Aquil·les.
DESCRIPCIÓ DEL CASJugador de bàsquet professional que durant la temporada 2008–09 pateix en un entrenament una estrebada muscular a la cama dreta durant una acció defensiva, quan passava dun estirament de la cama per frenar el cos cap enrere, a una flexió plantar brusca per tirar al cos endavant . Durant les primeres 48h es fa tractament tipus RICE (rest, ice, compression, elevation) i se li va permetre caminar, si bé ho fa amb dificultat. Es realitza un primer estudi ecogràfic ales 12h que determina una lesió del m. bessó intern amb un petit hematoma mio-fascial. Davant la sospita clínica i ecogràfica duna lesió del m. soli aconsellem un estudi mitjançant ressonància magnètica (RM) a les 24h de produir-se la lesió . Lestudi per RM, realitzada mitjançant sistema de 1,5T (Magnetom Essenza, Siemens Healthcare), és informada de lesió tipus tennis leg (figura 1).
Figura 1. a) Imatge axial potenciada en T2 obtinguda en la porció distal del bessó intern; mostra líquid dins de la unió mio-fascial entre el m. Soli i el m. Bessó intern i en la unió mio-tendinosa distal del bessó intern. També saprecien focus de hipersenyal dins del bessó intern, que presenta una discreta retracció i del m. Soli. b) imatge coronal stir dels bessons que mostra líquid en la unió miotendinosa distal del m. Bessó intern i edema intramuscular del m. Soli i m. Bessó intern.
A les 72h el jugador refereix que el dolor de la cama és cada vegada més pronunciat a la zona del terç distal de la cama, sobretot a nivell del m. soli, el descriu com per sota del tendó daquil·les.
Es realitza una nova exploració, i si bé es palpa el tendó daquil·les, aquest sembla més prim i tou que el contra lateral. La proba de compressió del tríceps sural (proba de Thompson) és negativa. Igualment davant la sospita de que hi hagi una possible patologia associada del tendó daquil·les se sol·licita un altre estudi ecogràfic i una altra RM.
La segona RM es realitza als 4 dies de la lesió, i aquesta vegada centrada al terç distal de la cama, sobre tendó dAquil·les, i sobjectiva una ruptura parcial distal del tendó dAquil·les daproximadament 75% del gruix total del tendó (figura 2).
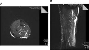
Figura 2. Imatges de ressonància magnètica: a) tall sagital stir, on observem una ruptura parcial extensa del tendó daquil·les, amb un gap ocupat per líquid i retracció de les fibres anteriors del tendó, i b) tall axial potenciat en T2 a nivell de lastràgal on observem aproximadament una 75% de desaparició del tendó dAquil·les amb preservació d eles fibres més posteriors.
Amb aquest diagnòstic, i tenint en compte que és un jugador dalt nivell, que seguirà jugant i per tat suportant una altíssima càrrega física saconsella la reparació quirúrgica, al 8è dia després de la lesió8. La intervenció quirúrgica va consistir en un abordatge para-aquili medial trobant una desinserció distal del tendó dAquil.les corresponent a les fibres mes anteriors, en un gruix aproximat del 75% del total del tendó. La lesió sestenia proximalment fins al cos muscular dels gastrocnemis, separant dos planells tendinosos desfilats i oberts com un llibre. Es va fer una reparació quirúrgica de la lesió amb reinserció distal al calcani amb dos ancoratges i sutura tendinosa de la ruptura (figura 3).
Figura 3. Fotografies de la intervenció del ca1 1. podem veure en el a) com existeix unes fibres que donen laspecte de continuïtat del tendó. b) veiem las fibres del tendó totalment arrencades i esfilagarsades. c) procediment de sutura i reinserció al calcani, d) imatge del final de la intervenció.
Com antecedents dinterès del cas cal recordar que és un jugador de 30 anys, 200cm dalçada i 100kg de pes. El dia de la lesió es trobava bé, sense cap molèstia prèvia les setmanes anteriors. Portava en aquesta temporada 275 entrenaments i 75 partits jugats.
Havia patit en la seva historia esportiva múltiples episodis de dolor al tendó daquil·les, i havia estat diagnosticat duna tendinosis bilateral de lAquil·les i duna bursitis retro-calcània de la cama dreta . Durant aquesta temporada havia tingut molèsties de forma recurrent, poc importants, i seguia el protocol específic de prevenció secundaria de tendinopatia aquil·lea9 consistent en exercicis excèntrics de bessons un mínim dun cop per setmana.
Dos mesos abans de produir-se la lesió, el dia 12 dabril, després de presentar una agudització de la bursitis retro-calcània shavia fet un tractament, amb aspiració i infiltració amb corticoides de la bursa retro-calcània.
DISCUSSIÓEs tracta dun jugador gran, alt i pesant, amb una trajectòria de 15 anys a nivell professional amb una clara tendinopatia crònica i una bursitis retro-calcània gran, cronificada e infiltrada 2 mesos abans de la lesió.
El mecanisme lesional és propi de les dues lesions, es produeixen més freqüentment quan el genoll passa cap a lextensió al temps que realitza una flexió plantar, justament quan fa un gest defensiu i fa una passa enrere per després impulsar-se cap endavant i produeix un efecte com si estiréssim dels dos extrems del múscul a la vegada. La transició allargament-escurçament del múscul semblaria el moment just de la lesió, tal com sha descrit anteriorment en un altre estudi10.
Inicialment, el jugador nota una punxada a la part mitja i medial del bessó. No te molèsties al tendó dAquil·les. Lexploració física es típica del tennis leg amb dolor a la flexió contra-resistida amb el genoll flexionat i sense flexionar i la proba de Thomson és negativa. Lexplicació de perquè el dolor inicial és el dun tennis leg i posteriorment el de la ruptura parcial de laquil·les, pot assumir-se que és perquè el tennis leg és una lesió típicament dolorosa, ja hem dit que lesportista nota una estrebada forta i un dolor intens que li ocasiona una impotència funcional important en funció de la magnitud de la lesió. En canvi la ruptura del tendó dAquil·les és moltes vegades no dolorosa5 i a vegades tampoc genera una impossibilitat de caminar8. Amb tot això podem explicar-nos perquè inicialment fem un diagnòstic de tennis leg i desprès de dos dies de ruptura parcial daquil·les associada.
Lecografia músculo-esquelètica dels primers tres dies sempre son indicatives duna lesió de tennis leg amb afectació principal del m. bessó intern. Com que existeix la sospita de lalteració del m. soli demanem la primera ressonància ja que per eco no es visible normalment11. La primera RM feta tenia una finestra de 25cm amb talls de 5–8mm centrada sobre la inserció distal del m. bessó i per tant en cap moment es visualitzava la inserció distal del tendó daquil·les. La segona RM feta amb el mateix aparell i equip de radiòlegs agafa una finestra de 25cm a nivell de 1/3 distal de la cama i es troba una imatge clara amb una ruptura parcial extensa del tendó dAquil·les. (veure figura 4).
Figura 4. cama del jugador, on veiem les dues finestres (camps de visió) de la primera (1) i segona (2) RM
En quant a la localització topogràfica de les lesions al tennis leg que trobem en aquest cas és en la unió mio-tendinosa del m. bessó intern i del m Soli son compatibles amb ruptura parcial grau II, amb un hematoma inter-fascial.
La lesió del tendó dAquil·les que trobem és un ruptura parcial, gairebé completa, amb un arrencament distal de gairebé tot el gruix del tendó en la seva inserció en el calcani en la cara més anterior. Únicament unes quantes fibres, les més posteriors estan conservades. La ruptura parcial del tendó dAquil·les és la demostració clínica de lasimetria de càrregues que pateix el tendó, donada la seva especial estructura formada per les bandeletes terminals dels músculs bessó intern, extern i soli, podent-se trencar una, dos o en les ruptures complertes les tres bandeletes. Està descrit que el 50% de la població el 75% del gruix del tendó dAquil·les ho forma la bandeleta pròpia del m. Soli12. En aquest cas sembla que ha estat una ruptura de la bandeleta del m. bessó intern i m. soli, les més habituals en trencar-se, si bé no podem dir-ho amb total seguretat.
Les característiques pròpies del tendó juguen un paper important en la possibilitat de patir una lesió. En aquest cas el jugador havia tingut problemes en aquest tendó des de feia anys amb una clara tendinopatia degenerativa crònica que podem comprovar per lestudi anatomopatològic post quirúrgic on és informat de la presència de teixit de granulació, fibrosis i hialinització més metaplàsia adiposa. Està perfectament descrit que aquests casos tenen un alt risc de patir una ruptura8,13.
La infiltració amb corticosteroides de la bursa retro-calcània dos mesos abans de la lesió sembla que pot haver tingut una clara influència en la ruptura del tendó dAquil·les. Aquesta és una pràctica habitual, sobretot en el món de lalt nivell on cal ser prudent però mai conservadors i que gràcies a aquesta terapèutica podem ajudar a millorar la simptomatologia i escurçar els terminis de tornada a la competició. La bursa té una íntima relació amb les fibres més anteriors del tendó dAquil·les i és justament per on es trenca el tendó dAquil·les.
En el cas presentat es produeixen dues lesions en el mateix moment, i la de lAquil·les es diagnostica amb retard perquè clínicament lAquil·les no li fa mal i perquè es mantenen fibres del complexe bessó-soli fins la inserció de lAquil·les que fa que lexploració física estigui dins de la normalitat els dos primers dies.
Caldrà revisar lanatomia i la biomecànica per comprovar si pot explicar-se aquesta associació lesional, on el m. soli pot tenir un paper cabdal ja que es trenca a nivell proximal i distal.
Conclusions La importància de recordar sempre que davant duna lesió tipus tennis leg cal vigilar sempre entre altres, la possibilitat de la ruptura parcial de lAquil·les.
Importància de comunicar-se molt bé entre el pacient, el metge clínic i el radiòleg.
Tenir en compte que les infiltracions de les burses retro-calcànies en jugadors veterans molt actius poden tenir un al risc de lesió del tendó dAquil·les.
Caldrà mes estudis per investigar aquesta associació per trobar una explicació anatòmica o biomecànica.
Seguir buscant factors de risc daquesta associació per tal de poder fer plans de prevenció primària i secundària en jugadors veterans amb tendinopatia crònica.
Els autors declaren no tenir cap conflicte d'interessos.
Recibido 4 Diciembre 2009
Aceptado 9 Diciembre 2009
Autor per correspondència. gil.rodas@fcbarcelona.cat







