Les lesions agudes dels isquiotibials són les més freqüents del futbol professional i el múscul més afectat és el cap llarg del bíceps femoral (CLBF); les localitzacions proximals són les més habituals, amb unes característiques clíniques importants, com el temps de baixa i el risc de relesió. Es presenten dos casos clínics de lesions proximals de CLBF: una lesió miotendinosa típica i una menys freqüent que afecta el tendó lliure de CLBF. Les lesions de la unió miotendinosa localitzades als isquiotibials poden ser tractades de manera conservadora, però les lesions dels futbolistes professionals, quan la quantitat de teixit connectiu afectat és gran (tendó lliure), han de ser tractades quirúrgicament.
Acute hamstring injury is the most common muscle damage in professional footballers and long head biceps femoris (LHBF) is the most commonly affected muscle with proximal locations being most prevalent with important clinical features such as time of recovery and risk of re-injury. Two clinical reports of proximal LHBF injuries are presented: a typical miotendinosus junction (MTJ) injury and a less common injury affecting the free-tendon of LHBF. MTJ injuries located in hamstrings can be treated conservatively but in professional football players, when the amount of connective tissue involved is great (free-tendon) injuries have to be treated surgically.
Introducció
La lesió aguda dels isquiotibials és el dany muscular més comú dels futbolistes professionals i representa al voltant del 12% de totes les lesions1-2. El cap llarg del bíceps femoral (CLBF) és el múscul més comunament afectat, i les localitzacions proximals són les més freqüents i amb característiques clíniques importants, com el temps de recuperació i el risc de relesió3. A més, malgrat la implementació d’exercicis preventius i mesures per reduir la incidència, les lesions relacionades amb l’entrenament dels isquiotibials augmenten un 4% cada any i al voltant de l’1,5% en els partits de futbol professional masculí4. Les proves de ressonància magnètica (RM) amb una intensitat de camp d’almenys 1,5 T i seqüències ponderades en T2 amb tècniques de supressió de greix i/o Short Tau Inversion Recovery (STIR) poden ser útils per verificar el diagnòstic i pronosticar el temps de baixa5.
Es presenten dos casos clínics de lesions proximals de CLBF: una lesió típica de la unió miotendinosa (UMT) i una lesió menys comuna que afecta el tendó lliure de CLBF. S’exposa i discuteix una comparació entre aspectes clínics, característiques de la ressonància magnètica i diferències de seguiment.
Casos clínics
Cas 1
Un jugador de futbol professional de dinou anys patí un dolor sobtat a la regió posterior superior de la cuixa en esprintar que l’impedí jugar. Els senyals clínics mostraren una tibantor aguda dels isquiotibials (palpació dolorosa, rang de moviment [ROM] limitat, disminució de la força, estirament dolorós i dificultat per caminar normalment). Es practicà RM 24 hores després del traumatisme amb un escàner 3-T (Titan Vantage, Toshiba). La lesió i les característiques de CLBF es descriuen a les figures 1 i 2. El diagnòstic final fou una lesió proximal UMT de CLBF localitzada a 10 cm de la tuberositat isquial i a 6 cm des de l’inici d’UMT. El temps de baixa previst fou de 7-8 setmanes. El tractament de recuperació consistí bàsicament en 3 fases: fisioteràpia, entrenament de força i neuromuscular al gimnàs i entrenament individual específic de futbol al camp.
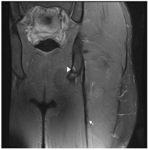
Figura 1 Les imatges coronal i axial en T2 amb supressió de greix de l’isquiotibial esquerre mostren trencament parcial de fibres a la UMT proximal de CLBF representades per una àrea d’alta intensitat de senyal adjacent a la UMT (fletxa). S’observa també ruptura d’algunes fibres del semitendinós (+). Ventre muscular semitendinós (ST), cap proximal del bíceps femoral llarg (long head biceps femoris [LHBF]), tendó semimembranós (punta de fletxa) i nervi ciàtic (*). En el tall coronal s’observa edema muscular de patró de ploma d’au.
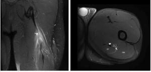
Figura 2 Les imatges coronal i axial en T2 amb supressió de greix de l’isquiotibial esquerre mostren canvis de gruix i intensitat del senyal del tendó lliure (fletxa), contorns borrosos i discontinuïtat ampliada fins a UMT proximal. Existeix retracció distal lleu d’UMT proximal. Ventre del múscul semitendinós (ST), gluti major (GM), tendó semimembranós (punta de fletxa) i nervi ciàtic (*).
Cas 2
Un jugador de futbol professional de divuit anys sofrí el mateix tipus de dolor en les mateixes circumstàncies. Els senyals clínics eren totalment similars als del cas dels isquiotibials aguts descrit, però la prova d’RM mostrà imatges diferents (figs. 3 i 4) perquè la lesió estava localitzada al tendó lliure del bíceps femoral. La longitud del tendó lliure fou 8,5 cm i la lesió fou localitzada a 6,5 cm de la tuberositat isquiàtica. Degut al llarg període de recuperació i a un índex elevat de relesió, cal considerar el tractament quirúrgic. Es realitzà l’escissió del teixit cicatricial, incloent-hi el trencament parcial del tendó y la sutura sense tensió del romanent del ventre del bíceps femoral al semitendinós adjacent, amb la finalitat de proporcionar tensió al tendó i reforç amb ancoratge a la tuberositat isquiàtica (figs. 3 i 4).
Figura 3 Vista intraoperatòria. Tendó lliure (FT), nervi ciàtic (SN), semitendinós (ST) i cap llarg del bíceps femoral (LHBF).
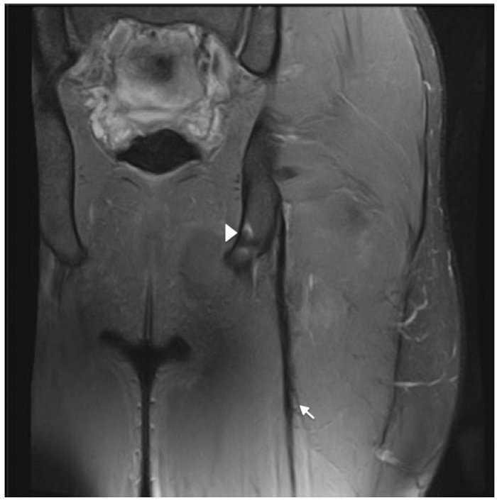
Figura 4 La imatge coronal en T2 amb supressió de greix dels isquiotibials esquerre durant el seguiment postquirúrgic mostra l’ancoratge metàl·lic a la tuberositat isquiàtica (punta de fletxa) i sutures peritendinoses representades per artefactes peritendinosos de susceptibilitat magnètica (fletxa).
Discussió
Les lesions més freqüents dels jugadors de futbol són les dels isquiotibials situades a la UMT proximal3. En els dos casos presentats del múscul lesionat, el mecanisme de la lesió, la simptomatologia inicial i l’exploració física van ser els mateixos. Tanmateix, en el segon cas la majoria del teixit connectiu afectat fou principalment tendinós i els símptomes van desaparèixer al cap de pocs dies, degut a la mala vascularització i a l’innervació del tendó.
La incorporació de les unitats d’RM 3T ens permeten visualitzar lesions tendinoses més petites que amb altres mètodes. Per exemple, lesions minúscules longitudinals i transversals split, que causen una pèrdua de tensió i retracció del ventre muscular6.
La cicatrització completa del tendó és més lenta, difícil i de molt baixa qualitat. Per tant, la cicatrització muscular i la presència del trencament parcial del tendó podrien estar associades a temps de recuperació molt més llargs i a un risc de relesió elevat7. En aquesta situació, el tractament no quirúrgic causa una reducció de la satisfacció del pacient, amb taxes significativament més baixes de retorn al nivell de prelesió de l’esport i menor força muscular dels isquiotibials8.
Per tant, la cirurgia reconstructiva dels jugadors professionals ha de ser el patró d’or, malgrat que els símptomes desapareguin ràpidament i el jugador no accepti que se li suggereixi que la cirurgia és el tractament apropiat. Caldria practicar la cirurgia dins les primeres dues setmanes de la lesió9, degut a què la intervenció quirúrgica aguda milloraria significativament la satisfacció del pacient, el dolor, la força/resistència i una taxa major de tornada al nivell anterior a la lesió esportiva. La recuperació posterior s’associa a un risc major i a complicacions majors i relesions8,10.
En pacients d’esport recreatiu, la reparació o reconstrucció posterior podria considerar-se com a desitjable amb un retorn d’un 87% a les activitats de la vida diària. En el cas de jugadors professionals que els cal tornar al mateix nivell de rendiment, es recomana vivament la recuperació intensa11,12.
Recomanem un embenat elàstic durant una o dues setmanes després de l’operació sense immobilització, guixos o ortesi. En el postoperatori de dues a quatre setmanes, només es permet flexió de maluc i extensió de genoll. Es permeten exercicis de càrrega, amb poc pes i progressió gradual fins a completar el pes, cap al final de les sis setmanes. Després de tres o quatre setmanes s’introdueix l’entrenament de piscina, suau, i de quatre a sis setmanes després, el ciclisme. El rang de moviment dels isquiotibials comença en aquesta fase, però cal evitar els exercicis d’estirament durant les primeres quatre setmanes. Es recomana cursa progressiva i un entrenament muscular més actiu de dos o quatre mesos després de la intervenció, en funció del progrés del pacient. El temps de baixa previst en aquest casos és de 4-5 mesos.
En resum, requereixen cirurgia les lesions que afecten el tendó lliure o la majoria d’UMT (les del tendó lliure llarg, més que les del tendó lliure curt). D’altra banda, en les lesions que afecten la UMT allunyades del tendó, amb una petita part del teixit connectiu implicat, cal que es consideri com a primera opció el tractament conservador.
Rebut el 12 d’abril de 2017;
acceptat el 2 de maig de 2017
* Autor per a correspondència.
Correu electrònic:xavier.yanguas@fcbarcelona.cat (J. Yanguas)







