Caso clínico
Paciente mujer de 14 años, que practica la doma clásica. Ha sido visitada anteriormente en otros centros sin que se haya encontrado ninguna patología visceral, abdominal ni ginecológica que explique la problemática por la que consulta.
Antecedentes patológicos
- Infección gástrica por Helicobacter pylori.
- Ruptura del músculo rectus abdominalis en 2 ocasiones, hace unos 14-16 meses.
Motivo de consulta
La razón de la consulta es un dolor abdominal de un año de evolución. El dolor es de características neurálgicas, paroxístico, que aparece con el movimiento y que incluso le despierta durante la noche, y que la paciente describe como urente o punzante. Este dolor le impide llevar a término una vida normal, ya que sólo está sin dolor estirada y sin moverse.
Exploración física
A la palpación, el dolor se localiza en la región periumbilical y en la porción infraumbilical del rectus abdominis izquierdo. La presión local y la contracción de la musculatura abdominal lo provoca.
En su visita a otros centros se le han practicado un par de infiltraciones locales (con anestésico y un derivado corticoideo), que han calmado el dolor unos minutos, reapareciendo al disiparse el efecto del anestésico local.
Exploraciones complementarias
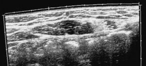
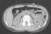
Aporta diferentes exploraciones complementarias: una ecografía abdominal, una ecografía ginecológica, una ecografía musculosquelética, una tomografía computarizada (TC) abdominal, una gammagrafia ósea planar, una resonancia magnética (RM) y un análisis sanguíneo. En la TC abdominal se observa una imagen patológica en el músculo rectus abdominis izquierdo, compatible con una cicatriz muscular (fig. 1). En la ecografía ginecológica se aprecia un quiste folicular en el ovario derecho, al que el ginecólogo no da importancia. En la ecografía musculotendinosa se ven 2 cicatrices fibrosas en el músculo rectus abdominis izquierdo a diferente nivel (fig. 2).
Figura 1
Figura2
Orientación diagnóstica
Tanto los antecedentes como la exploración clínica y las exploraciones complementarias orientan hacia una neuralgia por atrapamiento nervioso, secundaria a la formación de una cicatriz fibrosa en el músculo rectus abdominis. Reafirma el diagnóstico el hecho de que el punto de origen del dolor esté localizado en el lugar donde se localiza la cicatriz muscular.
Tratamiento
Nuestro consejo es la derivación de la paciente a una unidad de tratamiento del dolor para realizar una neurolisis.
Inicialmente la familia se niega, y decide iniciar un tratamiento farmacológico. Se receta gabapentina (Neurontin®), a dosis de 300 mg/día. La paciente mejora sustancialmente, aunque el dolor no desaparece del todo. Finalmente, la familia acceptó la derivación a una clínica del dolor.
En la clínica del dolor se decide realizar una neurolisis con radiofrecuencia pulsada, después de la localitzación del punto doloroso con estimulación nerviosa. Con este tratamiento el dolor desapare. Nueve meses más tarde hay una recaída, pero de menor intensidad. Es necesaria entonces la repetición del tratamiento con lo cual el dolor desapare.
Discusión
El primer diagnóstico diferencial que se ha de realizar delante de un dolor abdominal es si el dolor es visceral o de pared abdominal. El test de Cannett1 es de utilidad para este diagnóstico: se palpa el abdomen del paciente, que está situado en decúbito supino, hasta encontrar el punto de dolor. Se le pide al paciente que contraiga la musculatura abdominal, levantando el tórax de la litera. En esta postura se vuelve a apretar el punto doloroso y se le pregunta al paciente si el dolor ha cambiado. Si la razón del dolor es intraabdominal, la musculatura a tensión protege las vísceras y el dolor disminuye. Por otra parte, si el dolor se origina en la pared abdominal el dolor se mantiene o aumenta.
Las patologías que con más frecuencia pueden producir dolor en la pared abdominal son:
- La lesión iatrógena del nervio periférico.
- El atrapamiento del nervio cutáneo abdominal2.
- Las hernias3.
- El síndrome de dolor miofascial.
- El síndrome condrocostal.
- El dolor abdominal de origen vertebral.
- El hematoma espontáneo de la vaina del músculo rectus abdominis.
- La ruptura muscular.
En el caso clínico que nos ocupa se trata de una lesión por atrapamiento de una rama sensitiva del nervio cutáneo abdominal. Son iatrógenas porque con frecuencia son secundarias a la cirurgía abdominal, produciéndose una sección del nervio por incisión o bien un atrapamiento nervioso por la sutura o por la formación de la cicatriz.
No es un atrapamiento del nervio cutáneo abdominal4, ya que éste se produce en los anillos fibrosos que permiten el paso de los nervios cutáneos abdominales del interior hacia la parte exterior del rectus abdominis. Estos anillos fibrosos se encuentran a lo largo de la línea externa del músculo rectus abdominis.
El diagnóstico del atrapamiento de nervio periférico5 se fundamenta en los siguientes 3 puntos:
1. Dolor urente o punzante en el área inervada por dicho nervio.
2. Alteración de la función sensorial en la zona de distribución del nervio.
3. Disminución transitoria del dolor tras la infiltración de un anestésico local.
Tratamiento
- La infiltración con anestésico local y corticoides mejora el dolor durante unos 30 min aproximadamente. La acción local del corticoides puede disminuir el dolor durante unos días. Este tratamiento puede utilizarse para tratar el punto doloroso causado por el neuroma secundario a una cicatriz quirúrgica. No se puede repetir muchas veces, porque las dosis repetidas de corticoides pueden producir la debilidad de la fascia, favoreciéndose entonces la aparición de una hernia.
- Las inyecciones con fenol son otra alternativa, pero las ha de poner un anestesista o un especialista en el tractamiento del dolor.
- El tratamiento con radiofrecuencia pulsada debe realizarlo un especialista en dolor. Puede ser necesaria la repetición del tratamiento.
- Otra posibilidad es el bloqueo del nervio simpático, que, óbviamente, también debe realizarlo un anestesista.
- Finalmente, en los casos resistentes, nos queda la opción de la resección quirúrgica.
Correspondencia:
Dra. Carmen Porcar Rivero.
Dr. Martí i Julià, 58, 3.º-2.a. 08903 L'Hospitalet de Llobregat. Barcelona.
Correo electrónico: cporcar@car.edu





