Anamnesi
La pacient és una dona de 14 anys que practica la doma clàssica. Ha estat visitada anteriorment en altres centres i no se li ha trobat cap patologia visceral abdominal ni ginecològica que expliqui la problemàtica per la qual consulta.
Antecedents patològics
- Infecció gàstrica per Helicobacter pylori.
- Ruptura del múscul recte de l'abdomen en dues ocasions, fa uns 14-16 mesos.
Motiu de consulta
La raó de la consulta és un dolor abdominal d'un any d'evolució. El dolor és de característiques neuràlgiques, paroxístic, que apareix amb el moviment i que fins i tot la desperta durant la nit i que la pacient descriu com una cremada o punxada. Aquest dolor li impedeix dur a terme una vida normal, ja que només està asimptomàtica estirada i sense bellugar-se.
Exploració física
En la palpació, el dolor es localitza en la regió periumbilical i en la porció infraumbilical del recte anterior esquerre. La pressió local i la contracció de la musculatura abdominal el provoca.
En la seva visita a altres centres, se li han practicat un parell d'infiltracions locals (amb anestèsic i corticoides) que han calmat el dolor uns minuts, però ha tornat a reaparèixer en dissipar-se l'efecte de l'anestèsic local.
Exploracions complementàries
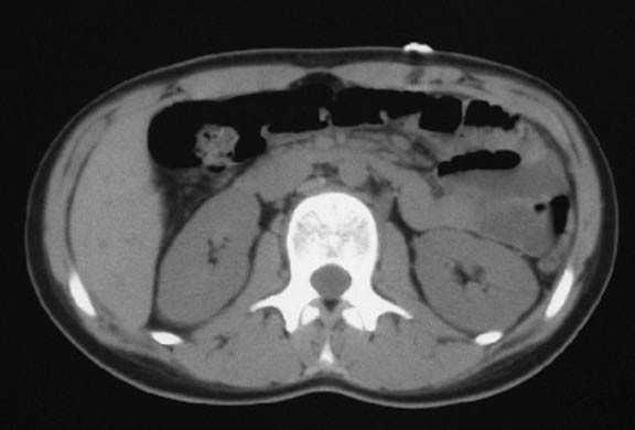
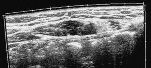
Aporta diverses exploracions complementàries: una ecografia abdominal, una ecografia ginecològica, una ecografia musculoesquelètica, un TAC abdominal, una gammagrafia òssia, una RMN i una anàlisi sanguínia. En el TAC abdominal es veu una imatge patològica al múscul recte de l'abdomen esquerre, compatible amb una cicatriu muscular (fig. 1). En l'ecografia ginecològica s'observa un quist fol·licular a l'ovari dret, al qual el ginecòleg no donà importància. En l'ecografia musculotendinosa es veuen dues cicatrius fibroses al múscul recte de l'abdomen esquerre a nivell diferent (fig. 2).
Figura 1
Figura2
Orientació diagnòstica
Els antecedents, l'exploració clínica i les exploracions complementàries orienten cap a una neuràlgia per atrapament nerviós, secundària a la formació d'una cicatriu fibrosa en el múscul recte de l'abdomen. Reafirma el diagnòstic el fet que el punt d'origen del dolor estigui localitzat al lloc on es localitza la cicatriu muscular.
Tractament
El nostre consell va ser la derivació de la pacient a una unitat de tractament del dolor per fer-hi una neuròlisi.
Inicialment la família s'hi va negar i es decidí iniciar un tractament farmacològic. Es va receptar Gabapentina (Neurontino), a dosi de 300 mg per dia. La pacient va millorar substancialment, per bé que el dolor no va desaparèixer del tot. Finalment, la família va acceptar la derivació a una clínica de dolor.
A la clínica de dolor es va decidir fer una neuròlisi amb radiofreqüència polsada, després de la localització del punt dolorós amb estimulació nerviosa. Amb aquest tractament el dolor va desaparèixer. Nou mesos després hi va haver una recaiguda, però de menys intensitat. Va caldre la repetició del tractament, amb la desaparició del dolor.
Discussió
El primer diagnòstic diferencial que hem de fer davant d'un dolor abdominal és si és d'origen visceral o de paret abdominal. El test de Cannett1 és d'utilitat per a aquest diagnòstic: palpem l'abdomen del pacient, que està situat en decúbit supí, fins a trobar el punt de dolor. Es demana al pacient que contregui la musculatura abdominal, aixecant el tòrax de la llitera. En aquesta posició es torna a prémer el punt dolorós i es demana al pacient si el dolor ha canviat. Si la raó del dolor és intraabdominal, la musculatura a tensió protegeix les vísceres i el dolor disminueix. En canvi, si el dolor s'origina a la paret abdominal el dolor es manté o augmenta.
Les patologies que amb més freqüència poden produir dolor a la paret abdominal són:
- La lesió iatrogènica de nervi perifèric.
- L'atrapament del nervi cutani abdominal2.
- Les hèrnies3.
- La síndrome de dolor miofascial.
- La síndrome condrocostal.
- El dolor abdominal d'origen vertebral.
- L'hematoma espontani de la beina del múscul recte de l'abdomen.
- La ruptura muscular.
El cas clínic que ens ocupa és una lesió per l'atrapament d'una branca sensitiva del nervi cutani abdominal. S'anomenen iatrogèniques perquè amb freqüència són secundàries a la cirurgia abdominal, tot produint-se una secció del nervi per incisió o bé un atrapament nerviós per la sutura o per la formació de la cicatriu.
No és un atrapament de nervi cutani abdominal4, ja que aquest es produeix al nivell dels anells fibrosos que permeten el pas de l'interior cap a la part exterior del recte anterior abdominal, dels nervis cutanis abdominals. Aquests anells fibrosos es troben tot al llarg de la línia externa del múscul recte abdominal.
El diagnòstic de l'atrapament de nervi perifèric5 es fonamenta en els tres punts següents:
1. Dolor cremant o punxant en l'àrea innervada pel nervi.
2. Alteració de la funció sensorial en la zona de distribució del nervi.
3. Alleujament del dolor per la infiltració d'un anestèsic local.
Tractament
- La infiltració amb anestèsic local i corticosteroides alleuja el dolor durant uns 30 minuts, aproximadament. L'acció local del corticosteroide pot disminuir el dolor durant uns dies. Aquest tractament es pot fer servir per tractar el punt dolorós causat pel neuroma secundari a una cicatriu quirúrgica. No es pot repetir moltes vegades, perquè la repetició de dosis de corticosteroides pot produir la debilitació de la fàscia, i afavorir l'aparició d'una hèrnia.
- Les injeccions amb fenol són una altra alternativa, però s'han de fer per un anestesista o un especialista en tractament del dolor.
- El tractament amb radiofreqüència polsada l'ha de fer un especialista en dolor. Pot ser necessària la repetició del tractament.
- Una altra possibilitat és el bloqueig del nervi simpàtic, que, òbviament, també l'ha de fer un anestesista.
- Finalment, en els casos resistents ens queda l'opció de la resecció quirúrgica.
Correspondència: Carmen Porcar. C/ Dr. Martí i Julià, 58 3-2. 08903 l'Hospitalet de Llobregat (Barcelona). Correu electrònic: cporcar@car.edu





