Se presenta y se discute un caso de ruptura de músculo recto abdominal en un jugador profesional de voleibol playa. La lesión se localiza próxima a aponeurosis profunda del vientre muscular superior en el lado no dominante. En la literatura epidemiológica pocas veces se contempla, de manera específica, esta lesión y existen pocos casos descritos. El mecanismo de lesión suele ser indirecto en el momento de la transición extensión flexión durante el gesto de saque o ataque en el caso del voleibol. En nuestro caso la ecografía es la herramienta de confirmación diagnóstica. A pesar de la lesión, el jugador se mantuvo activo, por lo cual debió modificarse la pauta de tratamiento.
A case of ruptured rectus abdominis muscle in a professional volleyball player is presented and discussed. The injury was located near the deep fascia of the upper stomach muscle on the non-dominant side. This injury is rarely specifically mentioned in the literature and there are few reported cases. The injury mechanism is usually indirect at the time of the flexion/extension transition when serving or attacking in the case of volleyball. The player remains active despite the injury and for this reason the treatment had to be modified.
El músculo recto abdominal (RA) tiene su origen en la superficie anterior de la sínfisis del pubis y en la cresta de la rama iliopubiana, se inserta en el 5.°, 6.° y 7.° cártilago costal. Contiene 3 bandas fibrosas que parten de la aponeurosis anterior y que interrumpen parcialmente la masa muscular1,2.
Los músculos abdominales son particularmente activos en actividades deportivas3. Los movimientos de torsión en el saque o en el ataque en voleibol tienen secuencias equiparables a la del servicio en tenis o el bateo en béisbol: se inician en la extremidad inferior, transfiriéndose al tronco, al hombro y resto del brazo4,5.
La lesión del RA se produce en movimientos bruscos de flexo extensión y rotación de tronco durante la contracción excéntrica6 o transición excéntrica concéntrica en el servicio, o el ataque. En deportes de golpeo de pelota con la extremidad superior se producen lesiones del RA, de las que hay menos información de la que corresponde a la percepción que de ellas se tiene7. No obstante, algunos estudios la consideran de manera expresa8,9,10.
Presentación del casoSe presenta el caso de un jugador de voleibol playa de 28 años de edad, diestro, de nivel olímpico internacional, atendido en los servicios médicos del Centro de Alto Rendimiento de Sant Cugat por presentar dolor en región anterior y superior izquierda de la pared abdominal tras un gesto de ataque en competición: movimiento de hiperextensión de la columna lumbar con estiramiento de la musculatura abdominal en contracción excéntrica y posterior fase concéntrica que da lugar a una flexión y rotación del tronco hacia el lado de la lesión en el golpeo de ataque.
Las molestias no ocasionaron el cese de la actividad, lo que provocó varios episodios de dolor brusco relacionado con la actividad y dificultó un tratamiento adecuado. El examen, realizado una semana después del episodio, muestra dolor selectivo en vientre muscular superior del RA del lado izquierdo alrededor de la zona umbilical. La contracción contrarresistida y el estiramiento muscular son dolorosos.
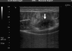
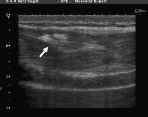
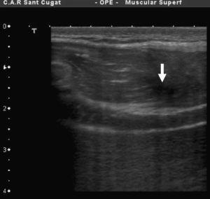
A pesar de los 7 días transcurridos, se observa una disrupción del correcto patrón fibrilar con sufusión hemática que invade la totalidad de la lesión y edema perilesional (figura 1, figura 2). El examen ecográfico también mostró una imagen fibrosa que, una vez interrogado el paciente, se concluyó que correspondía a una lesión antigua en el mismo vientre y asintomática en el momento de la consulta (figura 3).
Figura 1. Imagen ecográfica transversal de la lesión localizada en la zona próxima a la aponeurosis profunda a la derecha de la imagen.
Figura 2. Imagen ecográfica longitudinal de la misma ruptura.
Figura 3. Cicatriz fibrosa de una antigua lesión muscular en recto abdominal del mismo jugador.
Una vez diagnosticado se planifica tratamiento como si se tratase de una lesión aguda:
• reposo durante 3 días con aplicación de frío local
• técnicas especificas de fisioterapia
• reacondicionamiento progresivo:
○ musculación
○ ejercicios progresivos de recepción y golpeo con pelota
○ estiramientos, isometría y, finalmente, ejercicios excéntricos según la tolerancia
La persistencia del dolor hizo necesaria infiltración mediante corticoides para solucionar el problema.
DiscusiónLa lesión del RA es característica de actividades de lanzamiento, golpeo o bateo. Sorprende que, a pesar de ser entidades que se relacionan clásicamente con deportes como el tenis y el voleibol, ésta esté pobremente referenciada en la bibliografía. Johnson7 mantiene que las lesiones musculares de la pared abdominal son consideradas comunes aunque los estudios epidemiológicos, sin embargo, no corroboran esta afirmación. Esto es particularmente cierto para el voleibol, donde, en la mayoría de casos, no se registran lesiones en la musculatura abdominal11,12,13,14 o se incluyen en las lesiones de tronco y abdomen, como ocurre en el trabajo de Kujala15 sobre una población de más de 85.000 practicantes de voleibol donde dichas lesiones suponen un 0,9% del total con una tasa de 1/1.000 jugadores/año de exposición. La baja frecuencia seguramente influye en los registros epidemiológicos. Los datos del National Collegiate Athletic Association revelan que el fútbol y la lucha son los deportes de mayor incidencia de lesiones de pared abdominal, en voleibol la tasa de lesión registrada es de 0,48/1.000 jugadores/año7. Solamente existe un caso publicado en voleibol playa profesional donde se recoge esta lesión como una atención médica que no comportó pérdida de tiempo de entrenamiento16.
En cuanto al tenis, sí se han publicado artículos tanto epidemiológicos como clínicos que hacen referencia a esta lesión2,17,18,19. El estiramiento excéntrico seguido por contracción concéntrica del RA no dominante durante la fase de impacto en el servicio es el mecanismo de lesión aceptado20. El RA contralateral al brazo de golpeo es el que siempre sufre la rotura, normalmente a un nivel periumbilical2,19.
Igual que los casos descritos por Maquirriain3,19 y Connell2 en nuestro caso la rotura se produjo contralateral al brazo de ataque, en el vientre superior, cercano a la aponeurosis profunda del músculo.
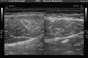
En el tenis se describe una asimetría de ambos RA2, con diferencias significativas en el diámetro anteroposterior del lado dominante (21,2mm±1,93) respecto al no dominante (28,2±1,93). En jugadores atacantes de voleibol se observa el mismo fenómeno. La figura 4 corresponde a un jugador sano perteneciente a la selección nacional donde se da la misma circunstancia.
Figura 4. Asimetría muscular de recto abdominal en un jugador profesional sano: 25mm en lado izquierdo no dominante, 20mm en el derecho.
En el golpeo hay incremento asimétrico de la actividad electromiográfica del RA del lado no dominante5 máxima durante la aceleración del brazo previa al impacto y a la flexión de cadera acompañante20, causa de su hipertrofia. El músculo RA se considera un músculo con función más dinámica que estática21 y con más tendencia al acortamiento. Probablemente, por ello son más susceptibles a la lesión.
Otros deportes donde se observa incidencia de este tipo de lesión son el balonmano22,23 y, según nuestra experiencia personal, la gimnasia artística femenina24.
Un tratamiento adecuado25,26 proporciona una recuperación rápida (3 semanas), no obstante, la experiencia demuestra que es un tipo de lesión que tiende a cronificarse debido a que no siempre obliga al cese absoluto de la actividad y a la poca relevancia que entrenadores y jugadores le dan al problema. En el voleibol, aunque la demanda es constante, el gesto puede cambiarse por variantes técnicas y mantener un cierto nivel de actividad empeora el proceso.
Sumario• La lesión del RA es más frecuente de lo que la literatura expresa.
• Su tratamiento adecuado suele resolver el problema en poco tiempo.
• Existe un alto grado de cronificación de esta lesión debido a la poca relevancia que se le da.
• La infiltración con corticoides es una alternativa en la situación de cronicidad.
Recibido 11 Enero 2010
Aceptado 2 Febrero 2010
Autor para correspondencia. turmo@car.edu







