La extrasistolia ventricular aislada es un hallazgo común en la prueba de esfuerzo de algunos deportistas. No hay evidencia científica extensa en el manejo de esta situación, particularmente cuando es un hallazgo en un individuo asintomático sin antecedentes. En este caso se presenta un deportista asintomático, sin antecedentes, de 26 años, rugbier profesional, con 2 extrasístoles ventriculares en la fase de recuperación de la prueba de esfuerzo (una con imagen de bloqueo de rama derecha y la otra izquierda), pruebas complementarias cardiológicas normales (Holter, ecocardiograma doppler, ECG señal promediada, TC coronaria) excepto el hallazgo de fibrosis transmural del ventrículo izquierdo en la resonancia cardiaca, así como la toma de decisión en relación a la aptitud deportiva en el contexto de la escasa evidencia científica disponible en estos casos.
An isolated premature ventricular contraction is a common finding in some athletes. There is no extensive scientific evidence on the management of this situation, particularly when it is a finding in an asymptomatic individual with no history. The case is presented on a 26 year-old asymptomatic athlete, a professional rugby player, with no history, who had two premature ventricular contractions in the recovery phase of the effort test (one with an image of a right bundle branch block and the other with a left block). Complementary cardiological tests (Holter, Doppler echocardiogram, ECG signal averaged ECG, and coronary tomography) were normal, except for finding a left ventricular transmural fibrosis in the cardiac resonance. There is scarce scientific evidence available for decision-making in relation to sports aptitude in the context of these cases.
Introduction
The use of late gadolinium enhancement in cardiac resonance for the search for fibrosis in pathologies that cause sudden death such as hypertrophic cardiomyopathy1 it has taken an important role in the diagnosis and prognosis. However, there is a poor scientific evidence about what action to take when it is late gadolinium enhancement in an asymptomatic athlete without known heart disease; published series of endurance athletes bring mixed results in the incidence ranging from 0%2 up to 13%.3
In the study of the causes of sudden death, some of them are not detected with the recommended studies4 and they are detected in a molecular autopsy;5 this is possibly because there is not a study with a sensitivity of 100% for detecting this set of diseases, and in fact, the study of myocardial tissue is possible only with cardiac magnetic resonance by the presence of delayed gadolinium enhancement.
Isolated ventricular premature beats is a relatively common finding in the review of many asymptomatic athletes. The prognostic value is related to the presence or absence of structural heart disease, symptoms, behavior during exercise and response to detraining; and also have different prognostic value depending on the morphology (left or right ventricle).6
Recently published a study cohort of three years tracking athletes with delayed gadolinium enhancement, with and without ventricular arrhythmia, which shows the greater risk presented by the association of these two findings;7 for this reason is particularly interesting case.
Case presentation
Man, 26 years old, professional rugby player, training 10 hours a week from age 16, with no family or personal history of interest, no toxic habits, with physical examination and ECG (Fig. 1) normal.
Figure 1. ECG baseline of the athlete.
In the pre-participation screening of his new club was performed a stress test: heart rate maximum 180 bpm (HR max 92%), blood pressure maximum 210/90 mmHg, METS 17, without ST-segment abnormalities in the effort, 2 PVCs isolated in recovering one with image of right bundle branch block (Fig. 2) and the other with left bundle branch image.
Figure 2. Stress test, phase of recovery, LV BBDFH image.
Doppler echocardiography: normal. LV end diastolic diameter 53 mm, LV end systolic diameter 38 mm, interventricular septum 11 mm, posterior wall 11 mm, LVEF 53%, without alterations in contractility, left atrium 35 mm, aortic root 31 mm, heart valves with normal morphology and function.
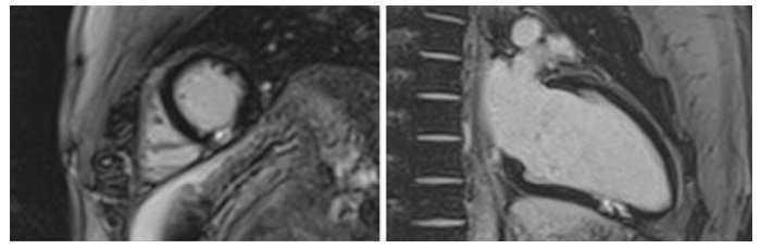
Before the discovery of ventricular premature beats in the stress test is requested signal-averaged ECG: normal. Cardiac Holter: sinus rhythm. HR average: 66 bpm, 2 PVCs in 24 hours. Coronary tomography: epicardial arteries without coronary lesions and cardiac magnetic resonance with adenosine: absence of inducible ischemia, LVEF 60%, focal area of transmural late gadolinium enhancement in the inferior segment of the left ventricle (Fig. 3).
Figure 3. Cardiac resonance, transmural late enhancement.
Evolution
With these findings the athlete was initially disqualified for professional practice; however, a second opinion was given him aptitude to continue with competitive sport. Currently, the patient is asymptomatic and without presenting ar-rhythmic events in 24-hours cardiac Holter and the stress tests that have been conducted every 6 months for 3 years of follow-up.
Discussion
Sport disqualification is a rare event that occurs in 1 of every 300 athletes,8 however there are series that is nearly than 2%.9 The disqualification generates in the athletes that they are indicated a frustration in the personal expectations and a potential psychological harm if this was done improperly.4
The finding of PVCs in a stress test is a relatively common event, however, the correlation with structural pathology or follow-up event would seem to be related to the presence of more than 10 beats in the stress test.10 Regarding the clinical case described, presented PVC in the recovery phase (not present in maximum effort) with very late-coupled, both criteria of benignity,6 although these criteria are uncertain in the presence of fibrosis and no evidence in these cases.
The only cohort study that analyzes the case of ventricular arrhythmia in the context of discovery of cardiac fibrosis pattern involving the epicardial suggests that these athletes should be disqualified sport because a 22% presented events in following 3 years7 (i.e. sudden death, ventricular tachycardia or implant of cardioverter defibrillator); however, the study does not mention that the 6 individuals who had an event at the follow up had symptoms or complex ventricular arrhythmia in the previous Holter. Because of this, we understand that there is insufficient evidence at present to determine whether the presence of late gadolinium enhancement in cardiac resonance, can be considered a risk marker in the absence of symptoms and complex arrhythmias.
Regarding the electrophysiological study although the utility is described in the presence of symptoms11 or complex ventricular arrhythmia,12 there are no evidence in the indication to evaluate the arrhythmic potential after detection of PVCs in the presence of fibrosis.
In conclusion, before the discovery of ventricular premature beats isolated in the stress test an athlete would be indicated to perform a second line of study, however, in an asymptomatic athletes without complex arrhythmias, the finding isolated myocardial fibrosis would not be a cause of sports disqualification with existing scientific evidence until today.
Received 24 January 2017;
accepted 29 January 2017
* Corresponding author.
E-mail address: grazioli@clinic.ub.es (Gonzalo Grazioli).






