La piomiositis representa una importante infección del músculo esquelético causada principalmente por Staphylococcus aureus. En este artículo se presenta el caso clínico de un futbolista de élite con antecedentes de foliculitis de repetición y portador crónico de S. aureus que presenta en un período de 6 meses dos episodios de piomiositis muscular no traumática que, tras las pruebas complementarias adecuadas, el cultivo del microorganismo y el tratamiento antibiótico correcto, se resolvieron sin complicación alguna.
Pyomyositis is an important infection of skeletal muscle frequently caused by Staphylococcus aureus. This article presents a case of an elite soccer player with a recurrent history of folliculitis and chronic carrier of S. aureus that in a 6 months period presents two episodes of non-traumatic pyomyositis. After suitable complementary tests, culture of the microorganism and the correct antibiotic treatment, abscesses resolved without any complication.
La piomiositis representa una importante infección del músculo esquelético causada principalmente por Staphylococcus aureus (90%)1, 2. Afecta generalmente a niños y a adultos jóvenes, especialmente después de un traumatismo muscular y/o cutáneo. Es más frecuente su presentación en extremidades inferiores y en adictos a drogas por vía parenteral, diabéticos y pacientes immunodeficientes2, 3. Presenta tres estadios clínicos: fase invasiva, en la que el microorganismo penetra en el músculo por vía sanguínea o por infección cutánea (únicamente se presentan en este estadio un 2%); fase purulenta, en la que se diagnostican la mayoría de pacientes y en la que destaca el absceso muscular profundo, y fase tardía, en la que se dan síntomas de infección sistémica (desde febrícula a shock séptico); sólo el 5% de los pacientes se presentan en esta fase2.
La ecografía es útil para el diagnóstico inicial y para realizar una punción dirigida que permita el cultivo. La tomografía computarizada (TC) y especialmente la resonancia magnética (RM) son las técnicas más precisas para confirmar la localización y la extensión de la infección1, 4, 5.
El tratamiento se basa en el diagnóstico precoz y en la rápida instauración de la terapia antibiótica de sospecha. Tras identificar el microorganismo mediante punción y cultivo, debe ajustarse la antibioterapia. En ocasiones debe realizarse aspiración y/o drenaje quirúrgico2, 5.
CASO CLÍNICOPaciente varón de 25 años de edad, futbolista profesional de élite, de nacionalidad brasileña. Durante el curso de tres temporadas presentó foliculitis recurrentes en barba, tórax y piernas, normalmente tras un antecedente de depilación con maquinilla. En el año 2005 se desbridó un forúnculo torácico tras depilación con maquinilla los días previos. Este mismo año fue intervenido de rotura de ligamento cruzado anterior de su rodilla en Vail (Colorado, EE.UU.).
Tras diversos estudios por su foliculitis, el paciente fue etiquetado como portador crónico de estafilococos, si bien nunca pudo aislarse el estafilococo, ni en las uñas ni en la nariz. Aun así, se aconsejó seguir diversas estrategias higiénicopreventivas, entre las que se aconsejó el uso de mupirocina en la nariz y las axilas después de la ducha tras el entrenamiento y las competiciones.
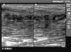
Primer episodio de piomiositisEl 15 de noviembre de 2006 inició un cuadro de molestias en la región deltoidea derecha, sin antecedente traumático, con dolor a la palpación, enrojecimiento y calor local. Se encontraba afebril y no presentaba malestar general. Se realizó ecografía, en la que se observa colección anecoica extensa de 5 × 10cm en el músculo deltoides derecho compatible con absceso muscular (fig. 1).
Se decidió realizar cultivo tras la punción-aspiración y se determinó la presencia de S. aureus. Tras 8 días de tratamiento con ciprofloxacino la mejoría clínica era prácticamente total, si bien ecográficamente no mostraba una recuperación completa. A la semana se le permitió iniciar entrenamientos individuales progresivos, y a los 10 días fue dado de alta para entrenarse con el resto de los jugadores del equipo.
Segundo episodio de piomiositisEl 9 de mayo de 2007, unos 6 meses después del primer episodio, el jugador presentó dolor muscular localizado en la región proximal del muslo derecho. No recordaba tampoco ningún antecedente traumático, ni directo ni indirecto. Presentaba calor local a la palpación, enrojecimiento de la zona y aquejaba malestar general y febrícula (37,5°C).
El estudio ecográfico mostró de nuevo colección anecoica de 5 × 10 (fig. 2) y la imagen de RM puso de manifiesto una colección purulenta en el tercio proximal de tensor del músculo de la fascia lata (fig. 3).
Imágenes en STIR en el plano coronal. Se demuestran extensos cambios de señal que afectan al músculo tensor de la fascia lata derecho con presencia de una colección líquida y absceso de 7cm de diámetro longitudinal por 4 y 2,5cm en el plano transversal. Se observan importantes cambios edematosos en su masa muscular, así como la presencia de un importante edema en el tejido graso celular subcutáneo con una pequeña colección que desciende por la cara anterolateral del muslo.
Se realizó de nuevo punción y aspiración dirigida. El cultivo y el antibiograma mostraron estafilococos coagulasa negativos sensibles al trimetoprim/sulfametoxazol. Tras 10 días de tratamiento el paciente estaba completamente asintomático, y a pesar de las imágenes ecográficas que se muestran en la figura 4, se le permitió volver a la competición.
El estudio se completó con analítica sanguínea, en la que el hemograma y las interleucinas eran normales y las inmunoglobulinas E estaban elevadas.
DISCUSIÓNNos encontramos con un caso de un jugador con 2 episodios de piomiositis, en 2 músculos diferentes, que se presenta de forma súbita, sin ningún traumatismo aparente. El jugador consulta en ambos casos por dolor de inicio brusco, y cuando se hace el estudio ecográfico musculoesquelético correspondiente ya aparece una colección purulenta de varios días de evolución y de un tamaño considerable (5 × 10cm) que en los dos casos se acompaña de un cierto malestar general. En ambos casos decidimos recomendar reposo deportivo. Después de una semana los síntomas y signos remiten, el estado general vuelve a ser normal pero persiste la imagen ecográfica de absceso en resolución. Se le permite volver a los entrenamientos individuales de forma progresiva, y a los 15 días está dispuesto para competir de nuevo.
La piomiositis endémica se presenta en regiones tropicales o en pacientes inmunodeficientes. El paciente que nos ocupa no presenta estos factores de riesgo, ni tampoco padece ninguna enfermedad crónica. En los 4–5 controles analíticos realizados cada temporada durante 4 temporadas seguidas nunca hemos encontrado ningún parámetro hemático que pudiera hacer pensar en alguna alteración inmunológica.
Por otro lado, es un jugador que se trata como portador de S. aureus. Ha padecido varios casos de foliculitis y forúnculos. Se le ha aconsejado realizar una buena higiene corporal y el uso de mupirocina nasal y axilar de forma preventiva (baños y champú de clorhexidina). No se puede certificar el grado de adherencia a las normas higiénicas.
Los dos músculos afectados en el presente caso son el deltoides y el tensor de la fascia lata. El músculo deltoides no se activa específicamente para los gestos propios del fútbol, pero es susceptible de recibir impactos con otros jugadores o bien ser solicitado en las series de gimnasio con ejercicios tipo pres-banca, etc. En este sentido, el jugador relataba que había hecho sesiones de pesas los días previos, pero siguiendo siempre la rutina semanal habitual. El tensor de la facia lata es un músculo raramente lesionado en el ámbito de la práctica del fútbol, es muy solicitado durante los gestos específicos del fútbol y durante algunos ejercicios propios del trabajo de fuerza también puede recibir un golpe durante los entrenamientos o los partidos. Pero el jugador no presenta antecedente traumático local. Theodorou1 describe un caso parecido en un futbolista afecto de una piomiositis del músculo glúteo, de causa traumática.
Como causas posibles de piomiositis no traumática citamos:
- •
El hábito depilatorio, muy extendido entre los deportistas, se ha convertido en una moda. En los dos episodios descritos se registra una depilación integral aproximadamente una semana antes de la aparición de los primeros síntomas. Tras una depilación de este tipo, en un paciente portador de una estafilococia cutánea pudiera producirse una diseminación hemática del estafilococo, capaz de producir focos sépticos en zonas especialmente hipervascularizadas, por ejemplo, después de haber trabajado pesas en pres-banca o tras un choque fortuito en un partido que ocasionara una leve lesión muscular. Una zona hipervascularizada podría facilitar la creación de un absceso intramuscular y ocasionar la mencionada piomiositis6.
- •
Otra posible explicación podía ser que nos encontráramos ante un caso de enfermedad de Job, sídrome del leucocito perezoso o también llamada hiperglobulinemia E. Esta enfermedad se caracteriza por formación de abscesos subcutáneos fríos recurrentes y presencia de infecciones crónicas, y la bacteria más habitual es S. aureus. Es una enfermedad autosómica dominante que se manifiesta con valores de IgE sérica persistentemente elevados (cifras mayores de 2.000 UI/ml, aunque en la mayoría de los casos puede estar por encima de 5.000 UI/ml)7.
Nuestro paciente ha presentado siempre valores de IgE (145–155) claramente superiores a la media del grupo y del rango de normalidad según valores de nuestro laboratorio (56–120). Sin embargo, no son valores propios de esta enfermedad.
Los S. aureus resistentes a la meticilina (SARM) que se detectan en nuestro medio son tradicionalmente de origen nosocomial. Recientemente, la emergencia y la diseminación de SARM de origen comunitario en Estados Unidos han supuesto un cambio notabilísimo en nuestra percepción del problema de resistencia antibiótica y de virulencia de S. aureus. La extraordinaria capacidad de transmisión de estas cepas y su proclividad a colonizar e infectar a personas jóvenes, con frecuencia atletas o jugadores de élite de equipos de fútbol americano, han tenido una gran repercusión en la prensa especializada8. Ya se ha descrito en varios países europeos, incluido España, y lo dicho respecto a S. aureus sensible a meticilina debe aplicarse al SARM de origen comunitario. Los individuos inmunocompetentes son portadores de estos microorganismos, que son capaces de desarrollar infección piógena grave de piel y tejidos blandos y ocasionalmente septicemia, y no sólo en pacientes inmunodeficientes. Por otra parte, la repetida negatividad de los cultivos realizados descarta esta posibilidad.
CONCLUSIONES- •
Los jugadores de un equipo portadores de S. aureus deben estar controlados. Esta recomendación será, si cabe, más perentoria cuando la prevalencia de colonización y/o infección por SARM de origen comunitario en España sea como la de Estados Unidos.
- •
Es importante que estos jugadores sigan normas higiénicas básicas, entre las que destacan: limpiarse bien las manos con agua y jabón, curarse muy bien las heridas, evitar contacto con lesiones o vendas sucias de otras personas, evitar compartir toallas o maquinillas de otras personas y recomendar no practicar la depilación integral mediante afeitado y sustituirla por otros métodos, como el láser.
- •
Ante este tipo de absceso lo recomendable es la punción-aspiración del contenido mediante ecografía guiada, el cultivo y el tratamiento pertinente.
- •
El tiempo de vuelta a los entrenamientos y a la competición debe determinarse siguiendo criterios preferentemente clínicos.







