Introducció
L'espondilòlisi lumbar és una causa comuna de dolor lumbar baix en pacients adolescents esportistes1-5. La prevalença de dolor lumbar baix en pacients esportistes entre 11-17 anys varia del 8,02 al 30,9%, segons la bibliografia consultada6-10.
S'ha observat una major incidència de l'espondilòlisi en alguns esports, com la gimnàstica, aixecament de pesos, lluita, patinatge, voleibol, tennis i futbol2,11. Es tracta d'un defecte ossi en la pars interarticularis de l'arc posterior vertebral i actualment aquesta lesió s'accepta com una fractura per estrès provocat per un microtrauma repetit per càrrega i descàrrega de la zona, habitualment en flexoextensió amb rotació lumbar o sense. Sol ser bilateral, i en la majoria dels casos (85-95%) afecta L512,13.
Basant-nos en les recomanacions establertes per Standaert5 i en el document de consens de la Societat Catalana de Medicina de l'Esport (SCME)13 (fig. 1), hem fet el tractament i el seguiment del cas següent.
Figura 1 Conducta que cal seguir davant d'un EPL en un nen adolescent. CL: clínica; DVA: esports vertebralment agressius; EPL: espondilòlisi; FD: factors displàstics; GOP: gammagrafia òssia planar; RM: ressonància magnètica.
Cas clínic
Pacient home, de 13 anys d'edat, jugador de futbol, que va acudir a consulta el setembre de 2005 manifestant dolor lumbar baix de 4 mesos d'evolució, sense irradiació a extremitats inferiors. El dolor referit és de tipus punxant al nivell L4-L5-S1 i s'accentua amb la pràctica esportiva (córrer, saltar, xutar, etc.). Igualment, minva amb repòs. En l'exploració, destacava un dolor bilateral paralumbar baix que augmentava amb la hiperextensió. Existia una disminució de la flexibilitat dels isquiosurals. Es va orientar el diagnòstic com a espondilòlisi lumbar i es va sol·licitar un estudi radiogràfic (front, perfil i oblic a 45°). Es va pautar repòs esportiu i electroteràpia antiinflamatòria. Igualment, s'acordà una visita al podòleg.
Curs clínic
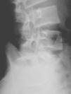
En la visita següent el pacient es presenta amb radiografies que confirmen el diagnòstic d'espondilòlisi L5 unilateral dreta (figs. 1 i 2). D'acord amb el document de consens de la Societat Catalana de Medicina de l'Esport, se sol·licita una gammagrafia òssia planar (GOP) amb tomografia computaritzada per emissió de fotó simple (SPECT). Es decideix continuar amb el mateix tractament i s'assabenta el pacient que serà un tractament a llarg termini.
Figura 2
Als 15 dies el pacient es presenta amb simptomatologia atenuada. La GOP/SPECT (figs. 3 i 4) demostra fenòmens de remodelació òssia al nivell d'ambdues pars d'L5. Per tant, es conclou el diagnòstic d'espondilòlisi activa L5 dreta i espondilòlisi esquerra en formació. Es continua el mateix tractament i s'hi afegeix una pauta específica d'exercicis deslordosants i ortesis plantars de correcció.
Figura 3
Figura 4
Als 2 mesos, el pacient manifesta una millora clínica significativa, per la qual cosa s'indica practicar natació per reforçar la zona lumbar, a més del tractament anterior. Se sol·licita un nou estudi radiogràfic al cap de 15 dies.
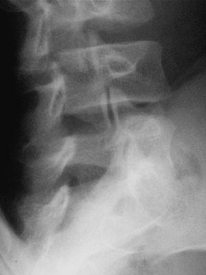
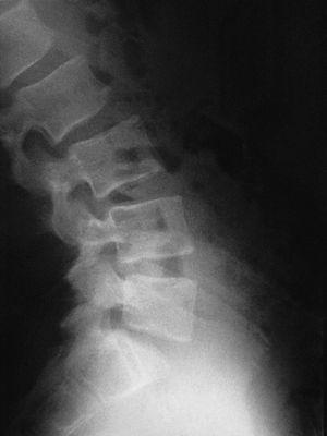
El nou estudi radiogràfic demostra espondilòlisi L5 dreta i persistència d'integritat de l'hemiarc esquerre (figs. 5 i 6). Igualment, l'estudi radiogràfic dinàmic demostra estabilitat completa de l'articulació lumbosacra (fig. 7). Per tot això es planteja l'alta esportiva, per bé que es recomana de continuar un mes més el tractament, i ajornar la tornada a la pràctica esportiva.
Figura 5
Figura 6
Figura 7
En una visita posterior, coincidint amb el retorn a la plena activitat, es du a terme un control mitjançant GOP/SPECT, en què s'observa una lleu persistència d'activitat osteogènica al costat esquerre i nul·la al dret (fig. 8). En aquest moment es pauta un mes més de tractament i se cita l'interessat per valorar l'alta. En l'última visita el pacient es presenta completament asimptomàtic.
Figura 8
Figura 9
Figura 10
Discussió
Seguint les recomanacions del document de consens de l'SCME per a la sospita clínica d'espondilòlisi, hem pogut observar la història natural de dos processos d'espondilòlisi distints. D'una banda, el costat dret representa l'evolució d'una lisi activa a inactiva. D'altra banda, el costat esquerre mostra l'evolució d'una espondilòlisi inactiva, detectada precoçment i plantejada correctament, que s'autolimita en el temps sense seqüeles radiogràfiques. En el nostre cas ens ha estat de gran utilitat el fet d'orientar la lesió com de llarga evolució, ja que ens ha permès tractar el pacient amb els terminis de repòs pertinents. Igualment és molt útil el control periòdic estricte d'aquest tipus de pacients, ja que d'aquesta manera es poden introduir estratègies terapèutiques d'una manera progressiva.
Coincidint amb l'opinió d'Standaert5, no ha estat necessària la col·locació d'una cotilla deslordosant, a causa del diagnòstic primerenc efectuat i pel fet que la simptomatologia va cedir als 15 dies de repòs; aquest cas demostra que col·locar-la no és estrictament necessari.
Finalment, quan hi ha coincidència de clínica, radiologia simple i gammagrafia òssia, no és estrictament necessari fer una tomografia computaritzada, ja que d'acord amb la nostra experiència, seguint els estudis radiogràfics periòdics, és possible el control evolutiu de la lesió.
Correspondència: Dr. Federico A. Yáñez Siller. Llorens i Braba, 45-49 B, 4-2. 08025 Barcelona.













