Las fracturas mandibulares son las fracturas faciales más frecuentes tras las fracturas nasales, y la contusión directa es la causa más habitual. La práctica deportiva es una de las principales causas de lesión maxilofacial, con gran variabilidad según el deporte practicado. Aunque existen diferentes publicaciones sobre el return-to-play en la fractura mandibular, no existe consenso claro al respecto.
Maxillary fractures are the most frequent facial fractures after nasal fractures. Direct concussion is the most frequent cause. Sport related maxillary fractures are frequent, and vary according to the discipline. Many articles have been published with return to practice recommendations, but no consensus has been reached.
Presentamos el caso de un paciente varón de 17 años de edad que consultó en el Servicio de Urgencias por contusión facial mientras practicaba hockey hierba. La causa fue contusión directa con un stick. El paciente no presentaba antecedentes patológicos relevantes ni alergias medicamentosas.
A la exploración física se evidenció dolor intenso a la palpación de ambos cuerpos mandibulares, con déficit a la apertura bucal. El paciente estaba hemodinámicamente estable y eupneico.
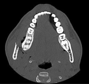
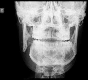
Se solicitó radiografía simple (Figura 1) que mostró fractura completa de rama mandibular derecha y fractura lineal parasinfisaria izquierda. Ante la no disponibilidad de ortopantomografía de urgencia se solicitó tomografía computarizada mandibular que evidenció fractura desplazada del ángulo mandibular derecho, con enfisema subcutáneo (Figura 2) y fractura parasinfisaria izquierda no desplazada.
Figura 1. Fractura completa de rama mandibular derecha y fractura lineal parasinfisaria izquierda en jugador de hockey hierba de 17 años con contusión facial directa.
Figura 2. Fractura desplazada del ángulo mandibular derecho, con enfisema subcutáneo en jugador de hockey hierba de 17 años con contusión facial directa.
Ante el diagnóstico de fractura cerrada mandibular se derivó al paciente al centro de referencia, donde fue intervenido mediante reducción abierta con placas de osteosíntesis. El paciente reinició la actividad deportiva sin contacto tras 3 semanas desde la fractura y reinició la actividad deportiva habitual con contacto a las 8 semanas, tras evidenciarse la consolidación radiológica de la fractura. El paciente usó protección facial durante los 2 meses que quedaban de competición.
DiscusiónLas fracturas mandibulares son las más frecuentes en traumatología facial tras las fracturas nasales, y son motivo de numerosas consultas en los Servicios de Urgencias.
Un 17,9% de los traumatismos mandibulares se asocian a otras lesiones faciales y un 12% se presentan con lesiones dentales; llega al 49% el número de fracturas maxilofaciales que se acompañan de una fractura mandibular1.
La práctica deportiva es una de las principales causas de lesión maxilofacial (la causa principal son los accidentes de circulación). Un estudio en población holandesa evidenció que el fútbol y el hockey hierba eran los deportes en los que se registraban más lesiones maxilofaciales (aunque se debe considerar el sesgo de los deportes más practicados en cada país)2.
La fractura se puede ocasionar por mecanismo directo (se produce en el lugar del traumatismo) o indirecto (muy frecuente la fractura de cóndilo en fuertes traumatismos sinfisarios).
Las fracturas mandibulares suelen localizarse en regiones que presentan cierta debilidad y en las que la estructura ósea tiene menor resistencia anatómica (p. ej. el cóndilo mandibular), zonas debilitadas por la presencia de dientes o cordales retenidos, quistes o raíces dentales largas, o atrofia mandibular secundaria a edentulismo o a antecedentes patológicos que debilitan el hueso. En la población infantil, los puntos débiles de la mandíbula son la región del germen del canino y la del segundo molar definitivos, y el cuello del cóndilo2.
La estabilidad de las fracturas mandibulares depende de la localización y de la trayectoria de estas: en ángulo mandibular, las fracturas cuya línea sigue una trayectoria anterioinferior, es decir, hacia abajo y adelante, se consideran fracturas horizontales favorables, porque la fractura tiende a la estabilidad por acción de la musculatura anterior y posterior (músculo masetero y pterigoideo interno). En las fracturas verticales desfavorables la línea transcurre desde atrás hacia delante y hacia dentro3.
ClínicaLas manifestaciones clínicas de las fracturas mandibulares dependen de la localización anatómica y de la trayectoria de estas.
De forma general, suelen caracterizarse por presentar deformidad de la arcada mandibular y, en consecuencia, mala oclusión y asimetría facial (por fractura o luxación ósea).
El foco de fractura suele producir un área de hinchazón dolorosa a la palpación y con posible crepitación subcutánea. Conviene, dentro de lo posible, realizar una exploración física antes de que aparezca la tumefacción tisular, edema, equimosis o hematoma, ya que estos dificultarán su correcta evaluación. Algunos trazos de fractura pueden incluso movilizarse manualmente, sobre todo en mandíbulas atróficas. Además, en ocasiones existe desgarro de la mucosa y, de forma muy esporádica, de la piel circundantes.
Cuando existe compromiso o defecto tanto de partes blandas como duras, y estructuras vasculonerviosas, el cirujano deberá restituir la integridad de las unidades estéticas faciales, desgarros, laceraciones y defectos tisulares mediante técnicas quirúrgicas reparadoras complejas con colgajos locales o microvascularizados que mantengan la estética y funcionalidad facial, y complementen el tratamiento de la fractura ósea4.
Funcionalmente, suele observarse oclusión alterada o desplazada con movilidad mandibular comprometida. Aquellas que afectan el cóndilo o el cuello del cóndilo mandibular suelen caracterizarse por presentar impotencia funcional articular (imposibilidad de abrir o cerrar completa y correctamente la boca). En condiciones normales, la amplitud de apertura de la articulación es de aproximadamente 35-40 mm (tomando la medida entre los bordes de los incisivos centrales superior e inferior), considerándose patológica por debajo de 30-35 mm. La apertura oral depende de la articulación temporomandibular, la cual realiza en primera instancia un movimiento de rotación y en segundo lugar una traslación o deslizamiento de la mandíbula hacia delante. Este último, con la boca cerrada, produce la protrusión mandibular, la cual permite al paciente situar los dientes de la arcada inferior por delante de los de la arcada superior. Así pues, para detectar una fractura mandibular es muy útil preguntar al paciente por los posibles cambios en la oclusión así como por las pérdidas dentarias secundarias al traumatismo.
Aquellas fracturas que se encuentran en cualquier punto del recorrido del nervio alveolar inferior (cuerpo y ángulo mandibular), que puede resultar afectado, se manifiestan en forma de parestesias, disestesias o anestesia del labio y de la arcada dental inferiores.
La fractura o luxación de un diente deberá ser remitida al odontólogo sin demora, ya que incluso en los casos de avulsión completa, y si ha transcurrido poco tiempo (6-8 h), es posible reimplantar el diente con éxito, sobre todo en los niños. La pieza dentaria debe ser conservada idealmente en suero, o en leche o en saliva si no disponemos de aquel5.
Es importante destacar las características clínicas de 2 entidades patológicas que a menudo surgen como diagnóstico diferencial. En primer lugar, cuando un paciente acude a urgencias con apertura y protrusión mandibular e imposibilidad de cerrar la boca, suele ser consecuencia de una luxación mandibular: es decir, el cóndilo mandibular se halla por delante del tubérculo, fuera de la cavidad glenoidea. Inversamente, en segundo lugar, debemos recordar que la limitación de los movimientos mandibulares en ausencia de antecedentes traumáticos puede ser secundaria a artritis reumatoide, anomalías óseas congénitas, osteoartritis que incluyan la articulación temporomandibular o espasmo muscular y anquilosis de tejidos blandos u óseos. Por esta razón, la causa o el factor precipitante del cambio en la oclusión es determinante para llevar a cabo un buen diagnóstico: mientras una fractura se produce en huesos patológicos normalmente después de un traumatismo o simplemente comiendo alimentos duros, una luxación de la articulación temporomandibular ocurre tras grandes aperturas orales (bostezo).
Exploración radiológicaAnte la sospecha de una fractura mandibular fundada en los antecedentes y la exploración clínica (asimetría facial o alteración funcional), el diagnóstico deberá siempre apoyarse con métodos de imagen. Un estudio radiológico eficiente no solo permitirá un diagnóstico y tratamiento adecuados, sino que nos permitirá evaluar el resultado postoperatorio con mayor eficacia.
Para el diagnóstico de las fracturas mandibulares, la radiografía panorámica u ortopantomografía proporciona una primera visión general muy aceptable, pero en muchos servicios de urgencias dicha prueba no está disponible. En estas situaciones, la radiología simple con proyección AP (Figura 1), Townes y oblicua lateral derecha e izquierda, generalmente permite visualizar la fractura, pero en caso de radiografía aparentemente normal y alta sospecha diagnóstica, se debería solicitar una tomografía computarizada mandibular (Figura 2). La tomografía computarizada es el estudio óptimo para la visualización de la mandíbula en todos los planos y, sobre todo, de los cóndilos. Estos frecuentemente están desplazados por la tracción de la musculatura masticatoria y se encuentran fuera de plano, por lo que en ocasiones las fracturas a este nivel pasan desapercibidas con pruebas radiológicas convencionales.
La resonancia nuclear magnética se suele utilizar en caso de sospecha de lesión del menisco de la articulación temporomandibular.
Tratamiento de urgenciaLas fracturas de mandíbula a menudo se ven como una afección más en pacientes politraumatizados en los que puede coexistir un compromiso vital. La presencia de traumatismos cráneo-encefálicos, fracturas vertebrales o lesiones medulares, hemorragias, obstrucción de la vía aérea, infecciones, traumatismos torácicos o abdominales, o fracturas de huesos largos son lesiones asociadas que amenazan la vida del paciente y en ocasiones requieren de maniobras de resucitación (valoración ABCDE). La vía aérea tiene que ser revisada y estar libre de cuerpos extraños que la obstruyan, como dientes rotos o avulsionados, fragmentos óseos, vómitos, sangre, o incluso la lengua retruida, para permitir una correcta ventilación. Debemos poder distinguir si el paciente está en respiración espontánea, o si presenta una parada u obstrucción respiratoria que precisa de una ventilación artificial (orotraqueal, nasotraqueal o traqueotomía de urgencia). Además, el paciente debe ser estabilizado hemodinámicamente y debe asegurarse la circulación sanguínea, para lo cual tendremos que controlar la hemorragia (ligadura, presión, taponamiento), estabilizar las fracturas dentro de lo posible para disminuir las pérdidas de volumen y mantener una buena tensión arterial.
Las facturas mandibulares son dolorosas y deben ser tratadas, en la medida de lo posible, de forma urgente. Si se difiere en exceso la reducción de la fractura corremos el riesgo de que aparezca un hematoma organizado que dificulte posteriormente su correcta reducción5. Además, ciertas fracturas bifocales inestables pueden producir tracción posterior del cuerpo/sínfisis mandibulares y comprometer así la vía aérea. El tratamiento quirúrgico del foco de fractura ósea depende de su trazo y localización y de los antecedentes del paciente, pero suele realizarse reducción abierta y estabilización con material de osteosíntesis. En ocasiones, el tratamiento requiere un bloqueo intermaxilar durante un periodo de tiempo variable. Las heridas por arrastre serán desbridadas y limpiadas para disminuir en lo posible la contaminación microbiana.
Debido a que muchas de estas fracturas son abiertas (bien a la piel o en la boca) conviene realizar una cobertura antibiótica con amoxicilina/clavulánico, clindamicina o una cefalosporina de primera generación. Debido al edema de partes blandas secundario, el uso de corticosteroides como antiinflamatorios es habitual (siempre que no existan contraindicaciones médicas o posibilidad de contravenir la legislación antidopaje).
Reincorporación a la práctica deportivaLa literatura refleja la presión a la que están sometidos los médicos deportivos para la temprana reinserción del deportista. Sin embargo, existe poca evidencia científica referente a los tiempos de reincorporación a la práctica deportiva en pacientes afectos de fracturas faciales. Esta situación señala la necesidad de formular protocolos basados en la evidencia científica para la reinserción deportiva después de un traumatismo facial.
Diferentes estudios han demostrado que la curación ósea se inicia con una fase de reacción inflamatoria (a los 5 días de la fractura), seguida de una fase de formación de callo óseo (entre 4 y 40 días tras la fractura) y, finalmente, de una fase de remodelación (25-50 días tras la fractura). La osificación completa de la fractura se verifica mediante pruebas radiológicas6, 7.
Basándonos en estas fases, proponemos el siguiente algoritmo de reincorporación a la práctica deportiva:
- No realizar actividad física en los 15 días posteriores a la reducción de la fractura.
- Actividad suave sin contacto físico entre los 15 y los 30 días posteriores al tratamiento de la fractura.
- Actividad normal sin contacto entre los 31 y los 40 días posteriores a la fractura.
- Actividad con contacto y juego real a partir del día 41, con protección facial.
Hay que subrayar que dicho plan de reincorporación deportiva debe adaptarse individualmente, según las características de la fractura, su localización, el tratamiento aplicado y la estabilidad conseguida; los antecedentes patológicos y fisiológicos del paciente y según el tipo y categoría del deporte practicado. Además, hay que considerar las siguientes pautas:
- En los deportes de combate, la reincorporación no se recomienda antes de los 3 meses8, 9.
- En los pacientes con riesgo de nueva contusión facial, debe valorarse la retirada del material de osteosíntesis (si este no es reabsorbible) cuando el foco de fractura haya consolidado.
- Cualquier deportista que se reincorpore a la actividad deportiva previamente a la completa curación ósea objetivada con pruebas radiológicas deberá utilizar máscaras protectoras.
El equipo de Fowel y Earl reportan una reinserción deportiva a las 3 semanas en traumatismos faciales, pero todavía no existe suficiente evidencia científica para apoyar esta reducción en el tiempo de reinserción deportiva7.
Otro factor que debe ser considerado es la recuperación mental. Los deportistas deben recuperar la confianza antes de su regreso a la actividad deportiva. Un deportista físicamente curado puede no estar mentalmente recuperado del trauma causado por la lesión, y dicho estado supone un mayor riesgo de ulteriores lesiones. Dicha situación ha sido descrita sobre todo en bateadores de béisbol. La recuperación psicológica de las fracturas faciales debe realizarse en entrenamientos y situaciones controladas, que permitan al jugador recuperar la confianza. La colaboración de un psicólogo deportivo puede ser necesaria10.
PrevenciónEn una revisión realizada por Laskin se observó que anualmente más de 100.000 lesiones relacionadas con el deporte podrían ser prevenidas utilizando la adecuada protección en cabeza y cara11. Otros estudios han demostrado que la incidencia de fracturas faciales ha disminuido sustancialmente desde la introducción del uso obligatorio de cascos y protectores faciales en ciertos deportes.
En algunos deportes de contacto la utilización de cascos de protección es ya obligatoria y generalizada (hockey hielo y hockey línea), en otros deportes solo se utiliza en situaciones especiales (bateador de béisbol o penalty-corner en hockey hierba). En otros deportes el uso de protección es opcional, aunque es generalizado sobre todo en categorías inferiores12.
En cuanto a los protectores bucales, su uso ha demostrado disminuir las fracturas mandibulares en jugadores de hockey hierba y su uso es cada vez más generalizado, aunque no son obligatorios13.
En 2011 se instauró en Estados Unidos la normativa de uso de gafas protectoras en jugadoras de categorías inferiores de hockey hierba, que ha demostrado una disminución de la incidencia de lesiones faciales, orbiculares y oculares, aunque no ha demostrado disminuir la incidencia de contusiones14.
Recibido 14 Junio 2016
Aceptado 11 Julio 2016
Autor para correspondencia. bernatdepablo@gmail.com



