Les fractures mandibulars són les fractures facials més freqüents després de les nasals, i la contusió directa n’és la causa més habitual. La pràctica de l’esport és una de les causes principals de lesió maxil·lofacial, amb una gran variabilitat segons l’esport practicat. Tot i que hi ha diferents publicacions sobre la tornada a la competició en el cas de la fractura mandibular, no hi ha un consens clar al respecte.
Maxillary fractures are the most frequent facial fractures after nasal fractures. Direct concussion is the most frequent cause. Sport related maxillary fractures are frequent, and vary according to the discipline. Many articles have been published with return to practice recommendations, but no consensus has been reached.
Cas clínic
Presentem el cas d’un pacient home de 17 anys d’edat que consultà el servei d’urgències per contusió facial mentre practicava hoquei sobre herba. La causa fou la contusió directa amb un estic. El pacient no presentava antecedents patològics rellevants ni al·lèrgies medicamentoses.
A l’exploració física s’evidencià un dolor intens en la palpació d’ambdós cossos mandibulars, amb dèficit a l’apertura bucal. El pacient estava estable hemodinàmicament i eupneic.
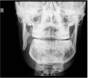
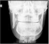
Se sol·licità radiografia simple (fig. 1), que mostrà fractura completa de la branca mandibular dreta i fractura lineal parasimfisària esquerra. Com que no es disposava d’ortopantomografia d’urgència se sol·licità tomografia computeritzada mandibular, que evidencià fractura desplaçada de l’angle mandibular dret amb emfisema subcutani (fig. 2) i fractura parasimfisària esquerra no desplaçada.
Figura 1. Fractura completa de branca mandibular dreta i fractura lineal parasimfisària esquerra d’un jugador d’hoquei herba de 17 anys amb contusió facial directa.
Figura 2. Fractura desplaçada de l’angle mandibular dret, amb emfisema subcutani, d’un jugador d’hoquei herba de 17 anys amb contusió facial directa.
Degut al diagnòstic de fractura mandibular tancada, es derivà el pacient al centre de referència, on fou intervingut mitjançant reducció oberta amb plaques d’osteosíntesi. El pacient reinicià l’activitat esportiva sense contacte a les 3 setmanes de la fractura i reinicià l’activitat esportiva habitual, amb contacte, a les 8 setmanes, en evidenciarse la consolidació radiològica de la fractura. El pacient usà protecció facial durant els 2 mesos restants de competició.
Discussió
Les fractures mandibulars són les més freqüents en traumatologia facial, després de les nasals, i són motiu de nombroses consultes als serveis d’urgència.
Un 17,9% de traumatismes mandibulars s’associen a altres lesions facials i un 12% es presenten amb lesions dentals; el nombre de fractures maxil·lofacials que s’acompanyen d’una fractura mandibular arriba al 49%1.
La pràctica esportiva és una de les principals causes de lesió maxil·lofacial (la causa principal són els accidents de circulació). Un estudi amb població holandesa evidencià que el futbol i l’hoquei sobre herba eren els esports que registraven més lesions maxil·lofacials (tot i que cal tenir en compte el biaix dels esports més practicats a cada país)2.
La fractura es pot ocasionar per mecanisme directe (es produeix en el lloc del traumatisme) o indirecte (molt freqüent la fractura del còndil en forts traumatismes simfisaris).
Les fractures mandibulars solen localitzarse en regions que presenten una certa debilitat i en què l’estructura òssia té una resistència anatòmica menor (p. ex., el còndil mandibular), zones debilitades per la presència de dents o cordals retinguts, quists o arrels dentals llargues, o atròfia mandibular secundària a edentulisme o a antecedents patològics que debiliten l’os. En la població infantil, els punts dèbils de la mandíbula són la regió del germen del caní i la del segon molar definitius, i el coll del còndil2.
L’estabilitat de les fractures mandibulars depèn de la localització i de la seva trajectòria: en angle mandibular, les fractures, la línia de les quals segueix una trajectòria anterioinferior, és a dir, cap a baix i endavant, es consideren fractures horitzontals favorables, perquè la fractura tendeix a l’estabilitat per l’acció de la musculatura anterior i posterior (múscul masseter i pterigoïdal intern). En les fractures verticals desfavorables la línia transcorre des de darrera cap endavant i cap endins3.
Clínica
Les manifestacions clíniques de les fractures mandibulars depenen de la localització anatòmica i de la seva trajectòria.
De forma general, solen caracteritzarse per presentar deformitat de l’arcada mandibular i, en conseqüència, mala oclusió i asimetria facial (per fractura o luxació òssia).
El focus de fractura sol produir un àrea d’inflor dolorosa a la palpació i amb possible crepitació subcutània. Convé, en la mesura del possible, fer una exploració física abans que no aparegui la tumefacció tissular, edema, equimosi o hematoma, ja que en dificultarien l’avaluació correcta. Fins i tot alguns traços de fractura poden mobilitzarse manualment, sobretot en mandíbules atròfiques. A més, en ocasions hi ha esquinç de la mucosa i, de forma molt esporàdica, de la pell circumdant.
Quan existeix compromís o defecte, tant de les parts toves com de les dures, i estructures vasculonervioses, el cirurgià ha de restituir la integritat de les unitats estètiques facials, esquinços, laceracions i defectes tissulars, mitjançant tècniques quirúrgiques reparadores complexes amb penjalls locals o microvascularitzats que mantinguin l’estètica i la funcionalitat facial i complementin el tractament de la fractura òssia4.
Funcionalment, se sol observar oclusió alterada o desplaçada amb mobilitat mandibular compromesa. Les que afecten el còndil o el coll del còndil mandibular solen caracteritzarse per presentar impotència funcional articular (impossibilitat d’obrir o tancar completament i correctament la boca). En condicions normals, l’amplitud d’apertura de l’articulació és d’aproximadament 3540 mm (prenent la mesura entre les vores dels incisius centrals superior i inferior), i es considera patològica per sota de 3035 mm. L’apertura oral depèn de l’articulació temporomandibular, que realitza en primera instància un moviment de rotació i en segon lloc una translació o lliscament de la mandíbula cap endavant. Aquest darrer, amb la boca tancada, produeix la protrusió mandibular, que permet al pacient situar les dents de l’arcada inferior per davant de les de l’arcada superior. Així doncs, per detectar una fractura mandibular és molt útil preguntar al pacient pels possibles canvis de l’oclusió, així com per les pèrdues dentàries secundàries al traumatisme.
Les fractures que no es troben en qualsevol punt del recorregut del nervi alveolar inferior (cos i angle mandibular), que pot resultar afectat, es manifesten en forma de parestèsies, disestèsies o anestèsia del llavi i de l’arcada dental inferior.
Caldrà remetre a l’odontòleg, sense demora, la fractura o luxació d’una dent, ja que fins i tot en els casos d’avulsió completa, i si ha passat poc temps (68 h), és possible reimplantar la dent amb èxit, sobretot en els nens. Cal conservar idealment la peça dentària en sèrum, o en llet o en saliva, si no se’n disposa5.
És important destacar les característiques clíniques de dues entitats patològiques que sovint sorgeixen com a diagnòstic diferencial. En primer lloc, quan un pacient acudeix a urgències amb apertura i protrusió mandibular i impossibilitat de tancar la boca, sol ser conseqüència d’una luxació mandibular: és a dir, el còndil mandibular es troba per davant del tubercle, fora de la cavitat glenoïdal. Inversament, en segon lloc, cal recordar que la limitació de moviments mandibulars, en absència d’antecedents traumàtics, pot ser secundària a artritis reumatoide, anomalies òssies congènites, osteoartritis que inclogui l’articulació temporomandibular o espasme muscular i anquilosi de teixits tous o ossis. Per aquesta raó, la causa o el factor precipitant del canvi en l’oclusió és determinant per a dur a terme un bon diagnòstic: mentre que una fractura es produeix en ossos patològics, normalment després d’un traumatisme o simplement en menjar aliments durs, una luxació de l’articulació temporomandibular s’esdevé després de grans obertures orals (badall).
Exploració radiològica
Davant la sospita d’una fractura mandibular, fundada en els antecedents i l’exploració clínica (asimetria facial o alteració funcional), cal que sempre es recolzi el diagnòstic amb mètodes d’imatge. Un estudi radiològic eficient no sols permet un diagnòstic i tractament adequats, sinó que permet avaluar el resultat postoperatori amb una eficàcia major.
Per al diagnòstic de les fractures mandibulars, la radiografia panoràmica o ortopantomografia proporciona una primera visió general molt acceptable, però en molts serveis d’urgències aquesta prova no està disponible. En aquesta situació la radiologia simple amb projecció AP (fig. 1) de Towne i obliqua lateral dreta i esquerra generalment permet visualitzar la fractura, però en cas de radiografia aparentment normal i sospita diagnòstica alta, cal sollicitar una tomografia computeritzada mandibular (fig. 2). La tomografia computeritzada és l’estudi òptim per visualitzar la mandíbula en tots els plans i, sobretot, els còndils, que freqüentment s’han desplaçat per la tracció de la musculatura masticatòria i es troben fora del pla, per la qual cosa a vegades les fractures a aquest nivell passen desapercebudes amb proves radiològiques convencionals.
La ressonància magnètica nuclear se sol utilitzar en cas de sospita de lesió del menisc de l’articulació temporomandibular.
Tractament d’urgència
Les fractures de mandíbula sovint es veuen com una afecció més en pacients politraumatitzats en els quals pot coexistir un compromís vital. La presència de traumatismes cranioencefàlics, fractures vertebrals o lesions medul·lars, hemorràgies, obstrucció de la via aèria, infeccions, traumatismes toràcics o abdominals, o fractures d’ossos llargs, són lesions associades que amenacen la vida del pacient i en ocasions requereixen maniobres de ressuscitació (valoració ABCDE). S’ha de revisar la via aèria i ha d’estar lliure de cossos estranys que l’obstrueixin, com ara dents trencades o avulsionades, fragments ossis, vòmits, sang, o fins i tot la llengua amb retrusió, per permetre la ventilació correcta. Hem de poder distingir si el pacient respira espontàniament o si presenta una aturada o obstrucció respiratòria i li cal ventilació artificial (orotraqueal, nasotraqueal o traqueotomia d’urgència). A més, cal estabilitzar hemodinàmicament el pacient i cal assegurarli la circulació sanguínia, per la qual cosa caldrà controlar l’hemorràgia (lligadura, pressió, taponament), estabilitzar les fractures en la mesura del possible per disminuir les pèrdues de volum i mantenir una bona presió arterial.
Les fractures mandibulars són doloroses i han de ser tractades, en la mesura del possible, de forma urgent. Si es defineix en excés la reducció de la fractura correm el risc que aparegui un hematoma organitzat que en dificulti posteriorment la reducció correcta5. A més, determinades fractures bifocals inestables poden produir tracció posterior del cos/símfisi mandibular i comprometre’n la via aèria. El tractament quirúrgic del focus de fractura òssia depèn del traç i de la localització i dels antecedents del pacient, però sol realitzarse reducció oberta i estabilització amb material d’osteosíntesi. A vegades el tractament requereix un bloqueig intermaxil·lar durant un període de temps variable. Les ferides per arrossegament han de ser desbridades i netejades per disminuir, en la mesura del possible, la contaminació microbiana.
Degut a què moltes d’aquestes fractures són obertes (a la pell o a la boca), convé realitzar una cobertura antibiòtica amb amoxicil·lina/clavulànic, clindamicina o una cefalosporina de primera generació. A causa de l’edema de parts toves secundari, l’ús de corticosteroides com a antiinflamatoris és habitual (sempre que no hi hagi contraindicacions mèdiques o possibilitat de contravenir la legislació antidopatge).
Reincorporació a la pràctica esportiva
La literatura reflecteix la pressió a què estan sotmesos els metges de l’esport per a la reinserció precoç de l’esportista. Tanmateix, hi ha poca evidència científica referent al temps de reincorporació a la pràctica esportiva dels pacients amb fractures facials. Aquesta situació assenyala la necessitat de formular protocols basats en l’evidència científica per a la reinserció esportiva després d’un traumatisme facial.
Diferents estudis han demostrat que la curació òssia s’inicia amb una fase de reacció inflamatòria (als 5 dies de la fractura), seguida d’una fase de formació de la callositat òssia (entre 4 i 40 dies després de la fractura) i, finalment, d’una fase de remodelació (2550 dies després de la fractura). L’ossificació completa de la fractura es verifica mitjançant proves radiològiques6,7.
Basantnos en aquestes fases, proposem l’algoritme següent de reincorporació a la pràctica esportiva:
— No practicar activitat física els 15 dies següents a la reducció de la fractura.
— Activitat suau, sense contacte físic, entre els 15 i els 30 dies posteriors al tractament de la fractura.
— Activitat normal, sense contacte, entre els 31 i els 40 dies posteriors a la fractura.
— Activitat amb contacte i joc real a partir del dia 41, amb protecció facial.
Cal subratllar que aquest pla de reincorporació esportiva ha d’adaptarse a l’individu, segons les característiques de la fractura, la seva localització, el tractament aplicat i l’estabilitat aconseguida, els antecedents patològics i fisiològics del pacient i segons el tipus i la categoria de l’esport practicat. A més, cal considerar les pautes següents:
— En els esports de combat, la reincorporació no es recomana abans de 3 mesos8,9.
— En els pacients amb risc de nova contusió facial, cal valorar la retirada del material d’osteosíntesi (si no és reabsorbible) quan el focus de fractura s’hagi consolidat.
— L’esportista que es reincorpori a l’activitat esportiva abans de la curació òssia completa, objectivada amb proves radiològiques, ha d’utilitzar màscara protectora.
L’equip de Fowel i Earl reporta una reinserció esportiva a les 3 setmanes en traumatismes facials, però encara no hi ha prou evidència científica per recolzar aquesta reducció en el temps de reinserció esportiva7.
Un altre factor que cal considerar és la recuperació mental. Els esportistes han de recuperar la confiança abans de retornar a l’activitat esportiva. Un esportista físicament guarit pot no estar mentalment recuperat del trauma causat per la lesió, i això suposa un risc de lesions ulteriors més gran. Aquesta situació ha estat descrita sobretot en batedors de beisbol. La recuperació psicològica de les fractures facials ha de ferse en entrenaments i situacions controlades que permetin que el jugador recuperi la confiança. Pot ser necessària la col·laboració d’un psicòleg de l’esport10.
Prevenció
Una revisió realitzada per Laskin observà que anualment més de 100.000 lesions relacionades amb l’esport podrien ser previngudes utilitzant la protecció adequada al cap i a la cara11. Altres estudis han demostrat que la incidència de fractures facials ha disminuït substancialment des de la introducció de l’ús obligatori de cascos i protectors facials en determinats esports.
En alguns esports de contacte la utilització de cascos de protecció ja és obligatòria i generalitzada (hoquei gel i hoquei sobre patins en línia), i en altres esports només s’utilitza en situacions especials (batedor de beisbol o penalcórner en hoquei sobre herba). En altres esports l’ús de protecció és opcional, tot i que és generalitzat sobretot en categories inferiors12.
Quant als protectors bucals, s’ha demostrat que l’ús disminueix les fractures mandibulars en jugadores d’hoquei sobre herba i cada vegada se’n generalitza més l’ús, malgrat que no són obligatoris13.
El 2011 s’instaurà als Estats Units d’Amèrica la normativa d’ús d’ulleres protectores a les jugadores de categories inferiors d’hoquei sobre herba, cosa que ha demostrat una disminució de la incidència de lesions facials, orbiculars i oculars, tot i que no ha demostrat que disminueixi la incidència de contusions14.
Rebut el 14 de juny de 2016;
acceptat l’11 de juliol de 2016
* Autor per a la correspondència.
Correu electrònic: bernatdepablo@gmail.com (B. de Pablo Márquez).





