Se presenta el caso de un jugador de fútbol profesional, de 18 años de edad, con 6 meses de experiencia en el club. En las 3 últimas semanas ha presentado 2 episodios de subderrame autolimitado en 4 días. Reconsulta por molestias pospartido, que no le han impedido completarlo en su totalidad. La exploración muestra derrame articular, no a tensión, rodilla estable, maniobras meniscales negativas y dolor a la exploración femoropatelar1. El estudio radiológico y ecográfico no muestra hallazgos de interés. Se solicita estudio de resonancia magnética (RM) a pesar de que la sintomatología se limita en pocos días, dada la recurrencia de los síntomas.
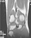
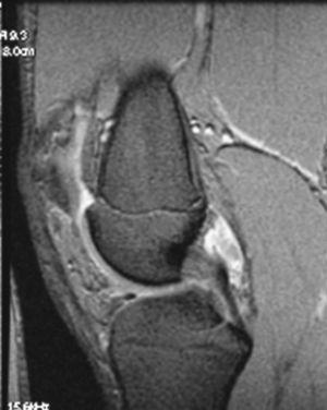
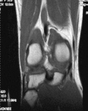
La RM muestra (figs. 1, 3 y 5):
Figura 1 RM. Imagen potenciada en T2 con supresión de grasa. Cuerpos libres en receso articular interno.
Figura 2 Artroscopia. Cuerpos libres articulares en receso articular interno.
Figura 3 RM. Imagen potenciada en T2 con supresión de grasa. Lesión condral amplia en rótula, faceta externa y cresta condral.
Figura 4 Artroscopia. Lesión condral amplia en rótula, faceta externa y cresta condral.
Figura 5 RM. Imagen potenciada en T1. Cuerpos libres alrededor de los ligamentos cruzados y en otras localizaciones intraarticulares.
Figura 6 Artroscopia. Cuerpos libres alrededor de los ligamentos cruzados y en otras localizaciones intraarticulares.
Figura 7 Artroscopia. Cuerpos libres alrededor del ligamento cruzado íntegro.
Figura 8 Artroscopia. Cuerpos libres alrededor del ligamento cruzado íntegro.
• Múltiples cuerpos libres intraarticulares.
• Lesión condral amplia en faceta externa y cresta de rótula, de grosor parcial.
• Derrame articular.
• Ligamentos y meniscos y resto de estructuras íntegras.
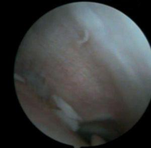
Se practica artroscopia, en la que se observan (figs. 2, 4, 6-8):
• Múltiples fragmentos condrales libres de bordes agudos, que se identifican como recientes y de bordes redondeados que se catalogan como antiguos.
• Lesión condral anfractuosa extensa, con fragmentos inestables en cresta de la rótula y en faceta externa, de grado III.
• Resto de estructuras intraarticulares íntegras.
• Se procede a la exéresis de los cuerpos libres y a la regularización de la lesión condral seguida de estabilización por vaporización.
Discusión
En la lesión aguda de la rodilla de los deportistas, la anamnesis y la exploración han de permitir sospechar un diagnóstico que se confirma mediante las exploraciones complementarias. En el caso comentado, la sospecha clínica es poco fundada y son las imágenes de RM las que establecen el diagnóstico, que tiene una total concordancia con los hallazgos artroscópicos. La concordancia entre la RM y la artroscopia es muy alta en todas las series publicadas2, como sucede en este caso. Los hallazgos quirúrgicos hacen pensar en una lesión crónica importante que, por otro lado, no tenía gran repercusión clínica, excepto en episodios intercurrentes autolimitados. Los derrames mínimos recurrentes no han de ser menospreciados por el clínico que atiende al paciente. Tanto si se acompañan de bloqueos o resaltes como si no, pueden ser debidos a cuerpos libres articulares.
Correspondencia: Lluís Til Pérez.
Serveis Mèdics del Futbol Club Barcelona.
Avda. Aristides Mallol s/n. 08028 Barcelona. España.
Correo electrónico: lluis.til@fcbarcelona.cat











