Es presenta el cas d'un jugador de futbol professional, de 18 anys d'edat, amb 6 mesos d'experiència al club. Les 3 darreres setmanes ha presentat 2 episodis de subvessament autolimitat el 4 dies. Reconsulta per molèsties postpartit, que no li han impedit acabar-lo. L'exploració mostra vessament articular, no a tensió, genoll estable, maniobres de menisc negatives i dolor en l'exploració femoropatelar1. L'estudi radiològic i ecogràfic no mostra troballes d'interès. Se sol·licita estudi de ressonància magnètica (RM) malgrat que la simptomatologia es limita en pocs dies, atesa la recurrència dels símptomes.
L'RM mostra (figs. 1, 3 i 5):
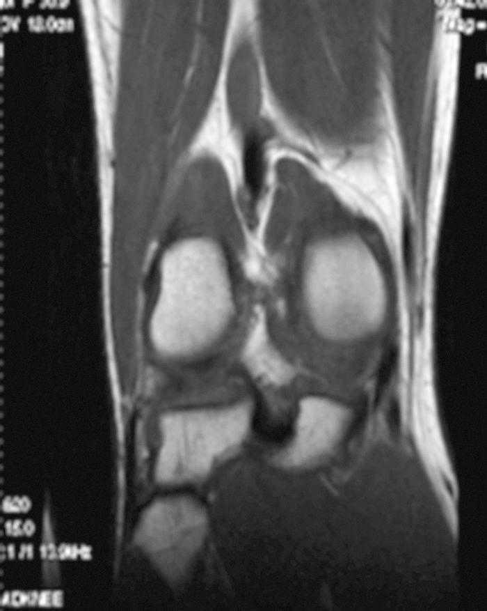
Figura 1 RM. Imatge potenciada en T2 amb supressió de greix. Cossos lliures en recessió articular interna.
Figura 2 Artroscòpia. Cossos lliures articulars en recessió articular interna.
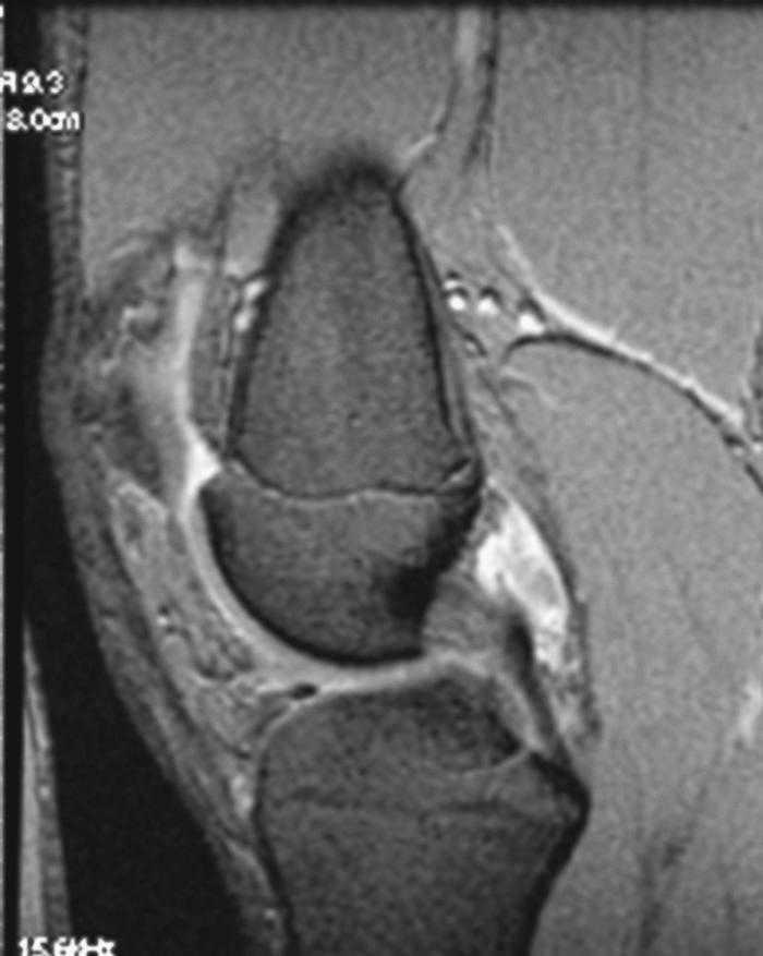
Figura 3 RM. Imatge potenciada en T2 amb supressió de greix. Lesió condral àmplia en ròtula, faceta externa i cresta condral.
Figura 4 Artroscòpia. Lesió condral àmplia en ròtula, faceta externa i cresta condral.
Figura 5 RM. Imatge potenciada en T1. Cossos lliures al voltant dels lligaments encreuats i en altres localitzacions intraarticulars.
Figura 6 Artroscòpia. Cossos lliures al voltant dels lligaments encreuats i en altres localitzacions intraarticulars.
Figura 7 Artroscòpia. Cossos lliures al voltant del lligament encreuat íntegre.
Figura 8 Artroscòpia. Cossos lliures al voltant del lligament encreuat íntegre.
• Múltiples cossos lliures intraarticulars.
• Lesió condral àmplia en faceta externa i cresta de ròtula, de gruix parcial.
• Vessament articular.
• Lligaments i meniscos i resta d'estructures íntegres.
Es practica una artroscòpia, en la qual s'observen (figs. 2, 4, 6-8):
• Múltiples fragments condrals lliures de vores agudes, que s'identifiquen com recents, i de vores rodones que es cataloguen com antics.
• Lesió condral anfractuosa extensa, amb fragments inestables en cres-ta de la ròtula i en faceta externa, de grau III.
• Resta d'estructures intraarticulars íntegres.
• Es procedeix a l'exèresi dels cossos lliures i la regularització de la lesió condral seguida d'estabilització per vaporització.
Discussió
En la lesió aguda del genoll dels esportistes, l'anamnesi i l'exploració han de permetre sospitar un diagnòstic que es confirma mitjançant les exploracions complementàries. En el cas que es comenta, la sospita clínica és poc fundada i són les imatges de RM les que estableixen el diagnòstic, que té una total concordança amb les troballes artroscòpiques. La concordança entre l'RM i l'artroscòpia és molt alta en totes les sèries publicades2, com s'esdevé en aquest cas. Les troballes quirúrgiques fan pensar en una lesió crònica important que, d'altra banda, no suposa gran repercussió clínica, excepte en episodis intercurrents autolimitats. Els vessaments mínims recurrents no han de ser menystinguts pel clínic que atén el pacient. Tant si s'acompanyen de bloquejos o ressalts com si no, poden ser causats per cossos lliures articulars.
Correspondència: Lluís Til Pérez.
Serveis Mèdics del Futbol Club Barcelona.
Avda. Aristides Mallol s/n. 08028 Barcelona. Espanya.
Correu electrònic: lluis.til@fcbarcelona.cat











